Mời bạn đăng ký để có thể sử dụng đầy đủ các tính năng
Đăng nhập
Mời bạn đăng nhập để có thể sử dụng đầy đủ các tính năng
Quên mật khẩu
Mời bạn nhập lại email để chúng tôi kiểm tra và cấp lại mật khẩu
Xác thực tài khoản
Vui lòng kiểm tra email và nhập mã xác thực
Lấy mã xác thực tài khoản
Mời bạn nhập lại email đã đăng kí để lấy mã xác thực!
Đặt mật khẩu
Mời bạn đặt nhập mật khẩu để tiếp tục
Chi tiết bài tư vấn
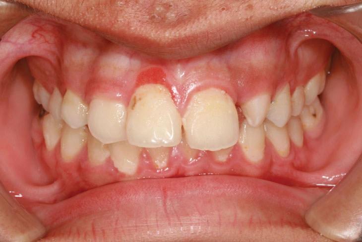
Viêm lợi: Nguyên nhân và cách điều trị
15-11-2013
Sống khỏe
Răng hàm mặt
Tóm tắt ý chính bài viết
Câu hỏi:
Tôi rất chăm chỉ đánh răng nhưng miệng vẫn hôi và lợi rất đỏ. Lần nào đánh răng cũng bị chảy máu. Có phải tôi bị viêm lợi? (Hoàng Hải Yến - Thái Bình)
Trả lời:
Lợi có nhiệm vụ bảo vệ, che chở và giữ cho chân răng được chắc chắn. Nguyên nhân gây viêm lợi là do vi khuẩn ở trong mảng bám hoặc cao răng tồn tại lâu trong miệng.
Khi bị viêm lợi, miệng người bệnh bị sưng đỏ, dễ chảy máu nhất là khi đánh răng, miệng hôi. Hầu hết ai trong chúng ta cũng đều bị viêm lợi 1 lần và nguyên nhân chủ yếu vẫn là chưa trú trọng đến việc bảo vệ, giữ gìn và vệ sinh răng miệng đúng cách.
Vi khuẩn sẽ tấn công đến tận chân răng và sản sinh tại đó các enzyme có khả năng phá huỷ sự liên kết của các biểu mô (nối lợi và răng) và gây ra viêm lợi. Những người nghiện thuốc lá, rượu, đồ ngọt hay ăn quá nóng, lạnh cũng dễ bị viêm lợi.
Phụ nữ khi mang thai, thay đổi hormon, tụt lợi, tác dụng phụ do dùng một số loại thuốc, người tiểu đường… cũng dễ bị viêm lợi. Khi bị viêm lợi nặng nếu không kịp thời chữa trị sẽ chuyển thành bệnh nha chu.
Điều trị viêm lợi chỉ có cách là loại bỏ nguyên nhân là mảng bám răng và cao răng, người bệnh phải đến phòng khám nha khoa để bác sĩ lấy sạch cao răng.
Chải răng đúng cách, vệ sinh răng miệng hằng ngày và khám nha khoa định kỳ, 6 tháng/lần. Ngoài ra phải ăn uống đủ chất, chọn lựa bàn chải mềm, không dùng vật nhọn chọc vào răng lợi.
Theo dõi fanpage của Bệnh viện Đa khoa Hồng Ngọc để biết thêm thông tin bổ ích khác:
Tôi rất chăm chỉ đánh răng nhưng miệng vẫn hôi và lợi rất đỏ. Lần nào đánh răng cũng bị chảy máu. Có phải tôi bị viêm lợi? (Hoàng Hải Yến - Thái Bình)
Trả lời:
Lợi có nhiệm vụ bảo vệ, che chở và giữ cho chân răng được chắc chắn. Nguyên nhân gây viêm lợi là do vi khuẩn ở trong mảng bám hoặc cao răng tồn tại lâu trong miệng.
Khi bị viêm lợi, miệng người bệnh bị sưng đỏ, dễ chảy máu nhất là khi đánh răng, miệng hôi. Hầu hết ai trong chúng ta cũng đều bị viêm lợi 1 lần và nguyên nhân chủ yếu vẫn là chưa trú trọng đến việc bảo vệ, giữ gìn và vệ sinh răng miệng đúng cách.
Vi khuẩn sẽ tấn công đến tận chân răng và sản sinh tại đó các enzyme có khả năng phá huỷ sự liên kết của các biểu mô (nối lợi và răng) và gây ra viêm lợi. Những người nghiện thuốc lá, rượu, đồ ngọt hay ăn quá nóng, lạnh cũng dễ bị viêm lợi.
Phụ nữ khi mang thai, thay đổi hormon, tụt lợi, tác dụng phụ do dùng một số loại thuốc, người tiểu đường… cũng dễ bị viêm lợi. Khi bị viêm lợi nặng nếu không kịp thời chữa trị sẽ chuyển thành bệnh nha chu.
Điều trị viêm lợi chỉ có cách là loại bỏ nguyên nhân là mảng bám răng và cao răng, người bệnh phải đến phòng khám nha khoa để bác sĩ lấy sạch cao răng.
Chải răng đúng cách, vệ sinh răng miệng hằng ngày và khám nha khoa định kỳ, 6 tháng/lần. Ngoài ra phải ăn uống đủ chất, chọn lựa bàn chải mềm, không dùng vật nhọn chọc vào răng lợi.
Theo dõi fanpage của Bệnh viện Đa khoa Hồng Ngọc để biết thêm thông tin bổ ích khác: