Răng chết tủy là gì?
Răng chết tủy là tình trạng răng bị viêm, bị nhiễm trùng nặng kéo dài không được xử lý nên khiến tủy răng bị chết.
Một chiếc răng khỏe mạnh cấu tạo gồm 3 lớp: men răng, ngà răng và tủy răng. Tủy răng nằm trong cùng và được bao bọc bên ngoài bởi men răng và ngà răng.
Tủy răng chứa mạch máu và các dây thần kinh nuôi dưỡng toàn bộ răng. Chính vì vậy khi tủy răng bị viêm sẽ gây ra tình trạng đau nhức, sưng nướu quanh răng, chảy máu chân răng. Và tình trạng này diễn ra trong thời gian dài mà không được xử lý sẽ khiến tủy răng bị chết và răng cũng dần dần chết theo.

Bác sĩ Răng Hàm Mặt Bệnh Viện Hồng Ngọc xử lý ca răng chết tủy cho khách hàng
Các giai đoạn từ viêm dẫn đến răng chết tủy
Răng chết tủy là kết quả cuối cùng của quá trình viêm tủy răng liên tục và kéo dài mà không được điều trị kịp thời. Trước khi tủy răng bị chết thì quá trình viêm sẽ trải qua nhiều giai đoạn, và mỗi giai đoạn sẽ có những triệu chứng khác nhau. Cụ thể:
Tủy răng bắt đầu bị tổn thương: Đây là giai đoạn ban đầu của quá trình viêm, hay còn được gọi là viêm tủy phục hồi. Bạn sẽ cảm nhận được những cơn đau nhẹ, nhỏ và càng về đêm càng đau. Khi ăn hoặc uống đồ lạnh răng sẽ có cảm giác ê buốt.
Viêm tủy mãn tính: Sau khi đau nhức nhẹ, người bệnh không đi kiểm tra để điều trị mà chủ quan để tình trạng kéo dài sẽ gây ra viêm tủy mãn tính. Giai đoạn này răng khá nhạy cảm, các cơn đau dai dẳng xuất hiện, đau nhiều hơn vào sáng sớm và ban đêm.
Viêm tủy cấp tính: Đây là giai đoạn gây đau đớn nhất, lúc nào bạn cũng có cảm giác đau nhức tại vị trí răng bị viêm. Phần nướu răng sẽ có dấu hiệu sưng, tụ mủ, đau nhức lan lên cả đầu.
Răng chết tủy: Sau quá trình viêm, sưng đau nhức không được điều trị kịp thời, thì răng sẽ bị chết tủy. Lúc này cảm giác đau đớn không còn xuất hiện nhiều, răng sẽ dần dần bị ố màu, quanh chân răng có mủ và có mùi hôi khó chịu.

Sâu răng, răng bị tổn thương, viêm nha chu, viêm nướu,… là những nguyên nhân dẫn đến răng bị chết tủy
Nguyên nhân dẫn đến tình trạng răng chết tủy
Nguyên nhân chủ yếu gây nên tình trạng răng chết tủy là do viêm nha chu, sâu răng và răng bị tác động mạnh từ bên ngoài do tai nạn, ngã,...
Sâu răng: Sâu răng là nguyên nhân phổ biến gây ra tình trạng răng bị chết tủy. Ban đầu, vi khuẩn chỉ ăn ở phần men răng bên ngoài, và không được điều trị kịp thời thì sâu sẽ ăn mòn vào trong ngà răng và tủy răng. Chính vì vậy, khi phát hiện sâu răng, bạn nên đến nha khoa để thăm khám và trám răng sớm nhất để tránh gây ra tình trạng sâu nghiêm trọng dẫn đến chết tủy răng.
Răng bị tổn thương, sứt mẻ do va đập, tai nạn: Khi không may xảy ra tai nạn khiến răng bị va đập, sứt mẻ. Từ đó gây ra tình trạng răng bị tổn thương bên trong. Các mạch máu và dây thần kinh quanh răng bị tổn hại, gây sưng viêm. Để lâu dần thì tủy răng bị chết.
Viêm nha chu, viêm nướu cũng có thể dẫn đến tình trạng răng chết tủy: Viêm nha chu, viêm nướu kéo dài, không được điều trị kịp thời cũng là nguyên nhân gây ra chết tủy răng. Khi bị viêm nha chu, viêm nướu sẽ xuất hiện tình trạng nhiễm trùng, áp xe răng, thường xuyên bị chảy máu chân răng và xuất hiện mủ. Lâu dần các vi khuẩn ấy sẽ tấn công, thâm nhập vào chân răng, ống tủy, lan tới buồng tủy gây viêm tủy. Tủy răng bị viêm nhiễm từ nhẹ đến nặng và không được điều trị kịp thời thì tình trạng chết tủy răng là điều hiển nhiên.

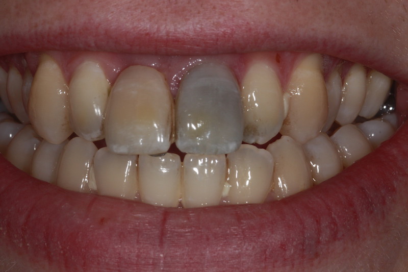
Tình trạng răng bị ố màu, ngả xám, nâu đen là dấu hiệu nhận biết răng chết tủy
Dấu hiệu nhận biết răng chết tủy
Dấu hiệu dễ nhận thấy nhất của tình trạng răng bị chết tủy là hôi miệng kéo dài, mặc dù đã vệ sinh răng miệng thường xuyên sạch sẽ.
Thứ 2 là tình trạng men răng bị ố màu, ngả sang xám hoặc nâu đen do tủy răng đã bị chết và răng không có nguồn nuôi dưỡng.
Răng bị mất cảm giác khi ăn nhai hoặc chạm vào đồ nóng, lạnh.
Răng bị giảm chức năng ăn nhai và khả năng nghiền nát thức ăn.
Răng bị lung lay, dễ gãy rụng.
Nhiều trường hợp răng bị vỡ thành mảnh nhỏ, có lỗ sâu lớn.
Khi xuất hiện những dấu hiệu trên hoặc răng có tình trạng đau nhức, khách hàng nên đến các phòng khám, bệnh viện chuyên khoa răng hàm mặt để được bác sĩ chuyên khoa thăm khám và điều trị sớm nhất. Tránh để lâu gây ra những biến chứng nguy hiểm, ảnh hưởng đến sức khỏe, khả năng ăn nhai cũng như tính thẩm mỹ của hàm răng.
Răng Hàm Mặt Bệnh Viện Hồng Ngọc với 7 cơ sở phòng khám trải rộng khắp thành phố Hà Nội. Giúp khách hàng tiết kiệm thời gian, tiền bạc và công sức khi đến thăm khám, kiểm tra sức khỏe răng miệng.
Hotline: 0912.854.193
Fanpage: https://www.facebook.com/ranghammatbvhongngocc?
