Siêu âm tim cơ bản là kỹ thuật quan trọng trong việc đánh giá tổng quát hình thái, chức năng, cấu trúc và các hoạt động của tim. Đây là bước quan trọng đầu tiên giúp chẩn đoán và phát hiện các vấn đề tim mạch. Vậy siêu âm tim cơ bản chi phí bao nhiêu và thực hiện ở đâu uy tín, chính xác?
Siêu âm tim cơ bản là gì?
Siêu âm tim cơ bản là kỹ thuật sử dụng sóng siêu âm. Bằng thao tác di chuyển của đầu dò không xâm lấn cho phép quan sát chi tiết các chuyển động của tim. Sóng siêu âm phát ra với chu kỳ khoảng 1.000 lần/giây và đi vào các tổ chức của cơ thể. Dựa trên kết quả siêu âm tim cơ bản thu được trên màn hình, bác sĩ sẽ kiểm tra và đánh giá được quá trình tim đập, bơm máu và co bóp.
Phân loại siêu âm tim cơ bản dựa trên các yếu tố sau:
Nguyên lý hoạt động
- Siêu âm một chiều để kiểm tra các thành phần giải phẫu của tim.
- Siêu âm hai chiều để kiểm tra những lát cắt về giải phẫu của tim (đem lại hình ảnh giải phẫu giống thực tế).
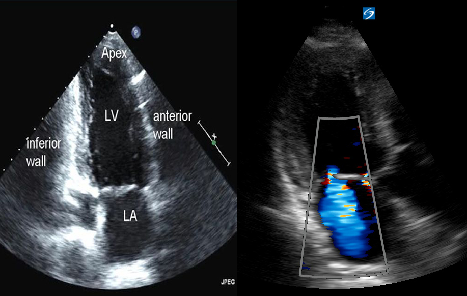
- Siêu âm Doppler gồm Doppler liên tục, Doppler tổ chức, Doppler màu,… giúp khảo sát các biến đổi về mặt hình thái, huyết động và các chức năng của tim.
Vị trí siêu âm
- Siêu âm qua thực quản và siêu âm tim qua thành ngực.
Với kỹ thuật siêu âm tim cơ bản, giúp bác sĩ có đánh giá tổng quan và chẩn đoán chính xác về các đặc điểm: hình thái, hoạt động của tim, sự bất thường của van tim hay buồng tim, màng ngoài tim,…
Kỹ thuật siêu âm này được thực hiện đơn giản nhưng đem lại đánh giá tổng quát chính xác về hình thái, hoạt động của tim, buồng tim, màng ngoài tim, sức bơm của van tim,… Dựa vào từng tình trạng cụ thể, bác sĩ sẽ chỉ định siêu âm một chiều hoặc hai chiều
Các mặt cắt cơ bản trong siêu âm tim
Mặt cắt trong siêu âm tim cơ bảnCác mặt cắt trong siêu âm tim cơ bản bao gồm:
- Mặt cắt từ mỏm: Mặt cắt này khó phát hiện trong siêu âm tim cơ bản. Kỹ thuật này cho phép so sánh kích thước của buồng thất và đánh giá các bất thường về vận động ở thành tim và vùng vách liên thất.
- Mặt cắt cạnh ức trục ngắn: Bác sĩ giải thích kết quả siêu âm tim cơ bản dựa trên các hình ảnh thu được bằng cách xoay đầu dò 90 độ theo chiều kim đồng hồ. Sau đó quét đầu dò từ đáy tim lên mỏm tim để quan sát các mặt cắt khác nhau.
- Mặt cắt cạnh ức: Các vị trí siêu âm ở mặt cắt để đánh giá thất trái và so sánh kích thước của buồng tim. Mặt cứt này cũng giúp phát hiện vấn đề tràn dịch màng tim, tràn dịch màng phổi.
- Mặt cắt dưới sườn: Là một trong những mặt cắt cơ bản trong siêu âm tim rất quan trọng, mặt cắt dưới sườn giúp quan sát và đánh giá 4 buồng tim. Bác sĩ sẽ sử dụng kỹ thuật nghiêng đầu dò sang bên phải để đánh giá tĩnh mạch chủ dưới và áp lực tĩnh mạch trung tâm.
Siêu âm tim cơ bản phát hiện bệnh gì?
Dựa trên kết quả siêu âm, bác sĩ có thể phát hiện những bất thường của tim và đóng vai trò quan trọng trong quá trình chẩn đoán tình trạng sức khỏe tim mạch của từng bệnh nhân. Cụ thể:
- Cho phép cung cấp những thông tin đầy đủ, chính xác về kích thước của buồng tim, van hai lá,..
- Quá trình tim hoạt động, co bóp
- Cơ tim bơm như thế nào
- Sự xuất hiện của các khối u, viêm nhiễm xung quanh van tim, cơ tim và mạch máu.
Phát hiện các bệnh lý tim mạch như:
- Nhồi máu cơ tim
- Thông liên nhĩ
Siêu âm tim cơ bản giúp phát hiện bệnh lý thông liên nhĩ- Hẹp eo động mạch chủ
- Các bệnh lý về cơ tim, van tim
- Cục máu đông
- Vấn đề bất thường về mạch máu
- Giữa các buồng tim có các lỗ bất thường
Chỉ định siêu âm tim cơ bản
Chỉ định thực siêu âm tim cơ bản trong những trường hợp:
- Bệnh nhân xuất hiện các triệu chứng: đau ngực, mệt mỏi, khó thở, chóng mặt, rối loạn nhịp tim, huyết áp bất thường, phù chân,…
- Bệnh nhân có tiền sử về tim cần thăm khám định kỳ như: phình tách động mạch chủ, giãn thất trái, suy thất phải, tràn dịch màng tim, ép tim, tình trạng sốc, huyết động không ổn định,…
- Theo dõi sức khỏe tim mạch sau phẫu thuật.
- Siêu âm tim cơ bản trước khi thực hiện thủ thuật đặt dẫn lưu màng tim
- Bị chấn thương
- Tối ưu hóa quá trình điều trị
- Nghi ngờ nhồi máu cơ tim

Có thể bạn quan tâm:
Quy trình siêu âm tim cơ bản
Quy trình thực hiện siêu âm tim cơ bản gồm các bước sau:
- Bệnh nhân được yêu cầu cởi áo và thoa một lớp gel lên ngực để tăng chất lượng hình ảnh thu được trên siêu âm và làm mờ ánh sáng trong phòng siêu âm.
- Để thực hiện siêu âm tim cơ bản, bác sĩ tiến hành di chuyển đầu máy đến các vị trí siêu âm khác nhau để thu thập thông tin về các chỉ số và hình ảnh của tim.
- Siêu âm tim cơ bản được thực hiện song song với đo điện tâm đồ để đánh giá chính xác về tình trạng tim.

Chi phí siêu âm tim cơ bản
Chi phí siêu âm tim cơ bản phụ thuộc chủ yếu vào cơ sở y tế mà khách hàng lựa chọn. Theo khảo sát, chi phí siêu âm sẽ dao động từ 200.000 đồng – 500.000 đồng. Có sự chênh lệch từ 100.000 đồng – 200.000 đồng tùy vào các địa chỉ siêu âm.
Ngoài ra, siêu âm tim bao nhiêu tiền còn phụ thuộc vào các yếu tố như loại siêu âm, thiết bị, máy móc, trình độ chuyên môn của bác sĩ,...
Siêu âm tim cơ bản ở đâu?
Bệnh viện Đa khoa Hồng Ngọc với trang thiết bị hiện đại, hỗ trợ quá trình chẩn đoán các vấn đề tim mạch chính xácChuyên khoa Tim mạch Bệnh viện Đa khoa Hồng Ngọc là địa chỉ uy tín trong thăm khám và điều trị các bệnh lý tim mạch. Với việc sở hữu trang thiết bị, máy móc hiện đại hàng đầu cả nước trong siêu âm tim như: Máy siêu âm Voluson E8, Doppler tim hỗ trợ quá trình phát hiện, chẩn đoán các vấn đề tim mạch đạt độ chính xác cao.
Ngoài ra, đội ngũ bác sĩ chuyên gia hàng đầu, giàu kinh nghiệm về tim mạch luôn tận tâm, nhiệt tình, sẵn sàng thăm khám, lên phác đồ điều trị phù hợp, hiệu quả cho từng khách hàng.
Để được tư vấn và hướng dẫn chính xác về siêu âm tim cơ bản, chi phí cụ thể như thế nào, khách hàng vui lòng liên hệ tới số Hotline 0911 858 616 để được hỗ trợ.
Thông tin liên hệ:
Chuyên khoa Tim mạch – Bệnh viện Đa khoa Hồng Ngọc
– Địa chỉ: 55 Yên Ninh, Ba Đình, Hà Nội
– Số 8 Châu Văn Liêm, Từ Liêm, Hà Nội
Hotline tư vấn và đặt lịch khám: 0911 858 626
**Lưu ý: Những thông tin cung cấp trong bài viết của Bệnh viện Đa khoa Hồng Ngọc chỉ có tính chất tham khảo, không thay thế cho việc chẩn đoán hoặc điều trị y khoa. Để biết chính xác tình trạng bệnh, người bệnh cần tới các cơ sở y tế uy tín để được bác sĩ trực tiếp thăm khám và tư vấn phác đồ điều trị hiệu quả.
Theo dõi fanpage của Bệnh viện Đa khoa Hồng Ngọc để biết thêm thông tin bổ ích khác.