Sốt cao kéo dài, rét run, sụt 5kg trong 10 ngày, ông T.H.Q nguy kịch vì “chùm” áp xe gan gần 11cm gây nhiễm khuẩn huyết rình rập dọa vỡ, rình rập dọa vỡ đe dọa tính mạng.
“Chùm” áp xe gan đẩy người bệnh vào tình trạng nguy kịch
Ông T.H.Q nhập viện cấp cứu tại Bệnh viện Đa khoa Hồng Ngọc trong tình trạng sốt cao 39°C, rét run từng cơn, đau tức vùng ngực phải, thể trạng suy kiệt rõ rệt. Theo khai thác bệnh sử, các triệu chứng đã kéo dài nhiều ngày, người bệnh sụt cân nhanh nhưng chủ quan điều trị tại nhà, chỉ đến viện khi tình trạng không cải thiện.
Tại thời điểm nhập viện, bệnh nhân trong tình trạng mệt mỏi nhiều, người lờ đờ, da nhợt nhạt, thể trạng suy kiệt rõ rệt, kèm sốt cao kéo dài và các dấu hiệu nhiễm trùng nặng. Ngay lập tức, bệnh nhân được hồi sức tích cực và chỉ định thực hiện các xét nghiệm và thăm dò chẩn đoán hình ảnh chuyên sâu nhằm xác định chính xác nguyên nhân bệnh.
Kết quả cho thấy các chỉ số xét nghiệm của ông Q đều ở mức báo động: men gan tăng gấp đôi giới hạn bình thường, CRP – chỉ dấu phản ánh tình trạng viêm – tăng gần 70 lần, trong khi PCT – chỉ số đánh giá nhiễm khuẩn huyết – tăng hơn 200 lần so với ngưỡng an toàn.
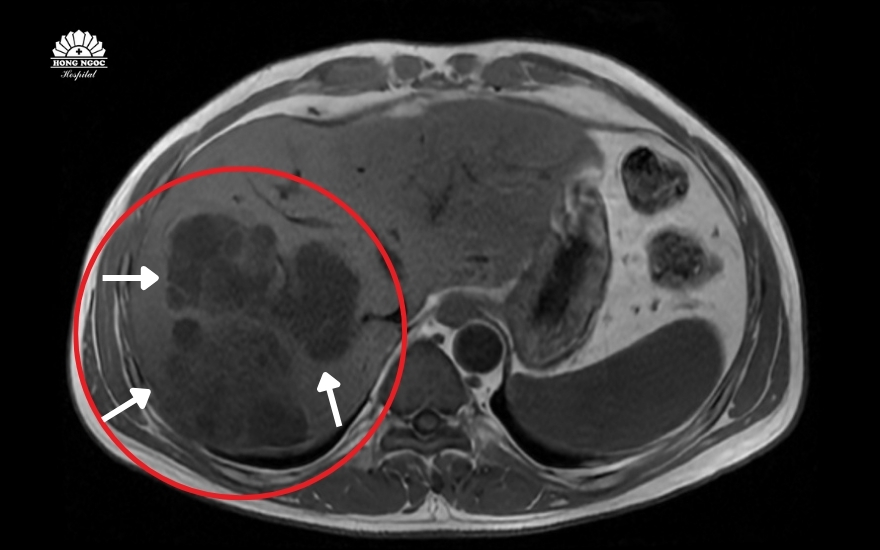
Đồng thời, kết quả siêu âm và chụp MRI ổ bụng cũng cho thấy nhu mô gan phải vùng hạ phân thùy VII – VIII, xuất hiện một ổ tổn thương áp xe kích thước lớn lên tới 109 x 102 x 74mm và những ổ nhỏ. Đáng lo ngại hơn, đây không phải một ổ mủ đơn thuần mà cấu trúc chứa nhiều vách và có vỏ dày, tạo thành các chùm nang sát vỏ gan nguy cơ vỡ.
Ổ áp xe kích thước lớn, có nhiều vách ngăn tạo thành các chùm nang
Hội chẩn nhanh trong khoa bệnh nhân được chẩn đoán nhiễm khuẩn huyết đường vào từ áp xe gan đa ổ kích thước lớn – một tình trạng nguy kịch, đòi hỏi can thiệp khẩn trương và theo dõi sát sao.
“Thứ nhất, ổ áp xe có kích thước rất lớn và cấu trúc phức tạp với nhiều vách ngăn, khiến việc dẫn lưu không hề đơn giản. Thứ hai, ổ áp xe nằm sát vỏ gan, nguy cơ vỡ vào ổ bụng là rất cao. Khi đó, mủ và vi khuẩn tràn vào khoang bụng có thể gây viêm phúc mạc, đe dọa trực tiếp tính mạng. Thứ ba, kích thước ổ áp xe lớn khiến chức năng gan bị ảnh hưởng, làm tăng nguy cơ chảy máu trong quá trình can thiệp.” - PGS.TS.BS Nguyễn Cảnh Bình - Trưởng khoa Tiêu hóa - BVĐK Hồng Ngọc, bác sĩ trực tiếp điều trị cho bệnh nhân Q phân tích.
Người nhà bệnh nhân cho biết, ông Q chưa từng có tiền sử bệnh gan, cũng không có thói quen ăn rau sống hay thực phẩm chưa qua chế biến – những yếu tố nguy cơ thường gặp của áp xe gan. Chính vì không nhận diện được nguy cơ, gia đình đưa bệnh nhân đến viện muộn, khi tình trạng đã diễn tiến rất nặng.
Hai lần chọc hút 1 lần dẫn lưu, mười ngày điều trị đưa người bệnh qua cơn nguy kịch
Sau khi chẩn đoán chính xác bản chất tổn thương, ekip bác sĩ khoa Tiêu hóa BVĐK Hồng Ngọc đã nhanh chóng xây dựng phác đồ điều trị tích cực, phối hợp đa phương thức nhằm kiểm soát ổ nhiễm trùng và cứu sống người bệnh.
Theo PGS.TS.BS Nguyễn Cảnh Bình, chiến lược điều trị được xác định rõ ràng ngay từ đầu: “Mục tiêu trước mắt là giảm áp lực trong ổ mủ, hạn chế nguy cơ vỡ áp xe và kiểm soát tình trạng nhiễm khuẩn huyết. Chúng tôi lựa chọn phương pháp chọc hút và dẫn lưu ổ áp xe dưới hướng dẫn của siêu âm, kết hợp điều trị kháng sinh mạnh, nâng đỡ thể trạng và hỗ trợ chức năng gan.”
Bác sĩ thực hiện chọc hút áp xe gan qua da dưới hướng dấn của siêu âm
Cụ thể, ở lần can thiệp thứ nhất, dưới hướng dẫn của hình ảnh siêu âm, ekip bác sĩ đã hút ra được khoảng 30ml mủ đục màu xanh. Mẫu dịch mủ được gửi làm xét nghiệm cấy khuẩn, xác định tác nhân gây bệnh là vi khuẩn Klebsiella pneumoniae. Từ kết quả này, phác đồ kháng sinh được điều chỉnh tối ưu, phù hợp với tác nhân gây bệnh.
Trong quá trình chọc hút, bác sĩ đồng thời tiến hành thăm dò cấu trúc ổ áp xe. Kết quả cho thấy ổ mủ bị chia cắt hoàn toàn bởi nhiều vách ngăn, không thông nhau, vì vậy không thể dẫn lưu triệt để 1 lần và chỉ qua một vị trí mà cần can thiệp chọc hút dẫn lưu tại nhiều điểm, theo từng giai đoạn điều trị.
Sau hai ngày điều trị tích cực kết hợp kháng sinh, tình trạng bệnh nhân cải thiện rõ rệt. Men gan giảm gần về mức bình thường, chỉ số PCT giảm còn khoảng một phần tư so với thời điểm nhập viện. Ekip tiếp tục đặt dẫn lưu, hút thêm được khoảng 80ml dịch đục lẫn máu.
Bốn ngày sau can thiệp, siêu âm cho thấy ổ mủ tại vị trí dẫn lưu đã xẹp, tuy nhiên vẫn còn các ổ dịch khác. Bệnh nhân được chỉ định chọc hút lần thứ hai tại vị trí khác, hút ra khoảng 100ml dịch mủ trắng đục. Hình ảnh siêu âm sau đó ghi nhận khối áp xe đã giảm kích thước đáng kể, ổ dịch lớn nhất chỉ còn khoảng 15 x 19mm.
Trong bốn ngày tiếp theo, người bệnh được theo dõi sát và tiếp tục điều trị tích cực bằng kháng sinh kết hợp hồi sức toàn diện. Kết quả kiểm tra cho thấy các ổ dịch còn lại rất ít, đáp ứng điều trị tốt và quá trình hồi phục diễn tiến thuận lợi.
“Sau khi kiểm soát được nhiễm trùng, lượng mủ giảm dần, các tổ chức viêm sẽ xơ hóa và lành sẹo theo thời gian, giúp ổ áp xe thu nhỏ lại,” PGS.TS.BS Nguyễn Cảnh Bình cho biết.
Dịch mủ được lấy ra sau các lần chọc hút
Sau ba lần can thiệp, bệnh nhân tỉnh táo, hết sốt, ăn uống tốt. Đồng thời, các chỉ số viêm được kiểm soát và tình trạng nhiễm khuẩn huyết đã ổn định. Sau 10 ngày điều trị tích cực, người bệnh được xuất viện và tiếp tục theo dõi, điều trị ngoại trú tại nhà.
Chia sẻ trong ngày ra viện, ông Q xúc động nói: “Một hành trình điều trị dài và đầy lo lắng, nhưng tôi thực sự may mắn khi được các bác sĩ cứu sống. Tôi vô cùng biết ơn các bác sĩ bệnh viện Hồng Ngọc.”
Ông Q tỉnh táo, hồi phục tốt sau 10 ngày điều trị
Theo các chuyên gia, áp xe gan đa ổ kích thước lớn là bệnh lý phức tạp, tiềm ẩn nhiều biến chứng nguy hiểm như sốc nhiễm khuẩn, vỡ ổ mủ vào ổ bụng, màng phổi hoặc trung thất đe dọa tính mạng. Việc chẩn đoán và điều trị cần được thực hiện tại các cơ sở y tế chuyên sâu, với đội ngũ bác sĩ chuyên khoa giàu kinh nghiệm lâm sàng, người bệnh không thể tự chẩn đoán và điều trị tại nhà.
Do đó, các bác sĩ khuyến cáo, khi xuất hiện các triệu chứng như sốt cao kéo dài không rõ nguyên nhân, ớn lạnh, đau tức vùng hạ sườn phải, mệt mỏi, vàng da hoặc sụt cân nhanh, người bệnh cần đi khám sớm để được phát hiện và can thiệp kịp thời, tránh những hậu quả đáng tiếc.
----------------------
KHOA TIÊU HÓA - BỆNH VIỆN ĐA KHOA HỒNG NGỌC
Số 55 Phố Yên Ninh, Phường Ba Đình, Thành phố Hà Nội
Hotline: 0911 908 856
Sốt cao kéo dài, rét run, sụt 5kg trong 10 ngày, ông T.H.Q nguy kịch vì “chùm” áp xe gan gần 11cm gây nhiễm khuẩn huyết rình rập dọa vỡ, rình rập dọa vỡ đe dọa tính mạng.
“Chùm” áp xe gan đẩy người bệnh vào tình trạng nguy kịch
Ông T.H.Q nhập viện cấp cứu tại Bệnh viện Đa khoa Hồng Ngọc trong tình trạng sốt cao 39°C, rét run từng cơn, đau tức vùng ngực phải, thể trạng suy kiệt rõ rệt. Theo khai thác bệnh sử, các triệu chứng đã kéo dài nhiều ngày, người bệnh sụt cân nhanh nhưng chủ quan điều trị tại nhà, chỉ đến viện khi tình trạng không cải thiện.
Tại thời điểm nhập viện, bệnh nhân trong tình trạng mệt mỏi nhiều, người lờ đờ, da nhợt nhạt, thể trạng suy kiệt rõ rệt, kèm sốt cao kéo dài và các dấu hiệu nhiễm trùng nặng. Ngay lập tức, bệnh nhân được hồi sức tích cực và chỉ định thực hiện các xét nghiệm và thăm dò chẩn đoán hình ảnh chuyên sâu nhằm xác định chính xác nguyên nhân bệnh.
Kết quả cho thấy các chỉ số xét nghiệm của ông Q đều ở mức báo động: men gan tăng gấp đôi giới hạn bình thường, CRP – chỉ dấu phản ánh tình trạng viêm – tăng gần 70 lần, trong khi PCT – chỉ số đánh giá nhiễm khuẩn huyết – tăng hơn 200 lần so với ngưỡng an toàn.
Đồng thời, kết quả siêu âm và chụp MRI ổ bụng cũng cho thấy nhu mô gan phải vùng hạ phân thùy VII – VIII, xuất hiện một ổ tổn thương áp xe kích thước lớn lên tới 109 x 102 x 74mm và những ổ nhỏ. Đáng lo ngại hơn, đây không phải một ổ mủ đơn thuần mà cấu trúc chứa nhiều vách và có vỏ dày, tạo thành các chùm nang sát vỏ gan nguy cơ vỡ.
Ổ áp xe kích thước lớn, có nhiều vách ngăn tạo thành các chùm nang
Hội chẩn nhanh trong khoa bệnh nhân được chẩn đoán nhiễm khuẩn huyết đường vào từ áp xe gan đa ổ kích thước lớn – một tình trạng nguy kịch, đòi hỏi can thiệp khẩn trương và theo dõi sát sao.
“Thứ nhất, ổ áp xe có kích thước rất lớn và cấu trúc phức tạp với nhiều vách ngăn, khiến việc dẫn lưu không hề đơn giản. Thứ hai, ổ áp xe nằm sát vỏ gan, nguy cơ vỡ vào ổ bụng là rất cao. Khi đó, mủ và vi khuẩn tràn vào khoang bụng có thể gây viêm phúc mạc, đe dọa trực tiếp tính mạng. Thứ ba, kích thước ổ áp xe lớn khiến chức năng gan bị ảnh hưởng, làm tăng nguy cơ chảy máu trong quá trình can thiệp.” - PGS.TS.BS Nguyễn Cảnh Bình - Trưởng khoa Tiêu hóa - BVĐK Hồng Ngọc, bác sĩ trực tiếp điều trị cho bệnh nhân Q phân tích.
Người nhà bệnh nhân cho biết, ông Q chưa từng có tiền sử bệnh gan, cũng không có thói quen ăn rau sống hay thực phẩm chưa qua chế biến – những yếu tố nguy cơ thường gặp của áp xe gan. Chính vì không nhận diện được nguy cơ, gia đình đưa bệnh nhân đến viện muộn, khi tình trạng đã diễn tiến rất nặng.
Hai lần chọc hút 1 lần dẫn lưu, mười ngày điều trị đưa người bệnh qua cơn nguy kịch
Sau khi chẩn đoán chính xác bản chất tổn thương, ekip bác sĩ khoa Tiêu hóa BVĐK Hồng Ngọc đã nhanh chóng xây dựng phác đồ điều trị tích cực, phối hợp đa phương thức nhằm kiểm soát ổ nhiễm trùng và cứu sống người bệnh.
Theo PGS.TS.BS Nguyễn Cảnh Bình, chiến lược điều trị được xác định rõ ràng ngay từ đầu: “Mục tiêu trước mắt là giảm áp lực trong ổ mủ, hạn chế nguy cơ vỡ áp xe và kiểm soát tình trạng nhiễm khuẩn huyết. Chúng tôi lựa chọn phương pháp chọc hút và dẫn lưu ổ áp xe dưới hướng dẫn của siêu âm, kết hợp điều trị kháng sinh mạnh, nâng đỡ thể trạng và hỗ trợ chức năng gan.”
Bác sĩ thực hiện chọc hút áp xe gan qua da dưới hướng dấn của siêu âm
Cụ thể, ở lần can thiệp thứ nhất, dưới hướng dẫn của hình ảnh siêu âm, ekip bác sĩ đã hút ra được khoảng 30ml mủ đục màu xanh. Mẫu dịch mủ được gửi làm xét nghiệm cấy khuẩn, xác định tác nhân gây bệnh là vi khuẩn Klebsiella pneumoniae. Từ kết quả này, phác đồ kháng sinh được điều chỉnh tối ưu, phù hợp với tác nhân gây bệnh.
Trong quá trình chọc hút, bác sĩ đồng thời tiến hành thăm dò cấu trúc ổ áp xe. Kết quả cho thấy ổ mủ bị chia cắt hoàn toàn bởi nhiều vách ngăn, không thông nhau, vì vậy không thể dẫn lưu triệt để 1 lần và chỉ qua một vị trí mà cần can thiệp chọc hút dẫn lưu tại nhiều điểm, theo từng giai đoạn điều trị.
Sau hai ngày điều trị tích cực kết hợp kháng sinh, tình trạng bệnh nhân cải thiện rõ rệt. Men gan giảm gần về mức bình thường, chỉ số PCT giảm còn khoảng một phần tư so với thời điểm nhập viện. Ekip tiếp tục đặt dẫn lưu, hút thêm được khoảng 80ml dịch đục lẫn máu.
Bốn ngày sau can thiệp, siêu âm cho thấy ổ mủ tại vị trí dẫn lưu đã xẹp, tuy nhiên vẫn còn các ổ dịch khác. Bệnh nhân được chỉ định chọc hút lần thứ hai tại vị trí khác, hút ra khoảng 100ml dịch mủ trắng đục. Hình ảnh siêu âm sau đó ghi nhận khối áp xe đã giảm kích thước đáng kể, ổ dịch lớn nhất chỉ còn khoảng 15 x 19mm.
Trong bốn ngày tiếp theo, người bệnh được theo dõi sát và tiếp tục điều trị tích cực bằng kháng sinh kết hợp hồi sức toàn diện. Kết quả kiểm tra cho thấy các ổ dịch còn lại rất ít, đáp ứng điều trị tốt và quá trình hồi phục diễn tiến thuận lợi.
“Sau khi kiểm soát được nhiễm trùng, lượng mủ giảm dần, các tổ chức viêm sẽ xơ hóa và lành sẹo theo thời gian, giúp ổ áp xe thu nhỏ lại,” PGS.TS.BS Nguyễn Cảnh Bình cho biết.
Dịch mủ được lấy ra sau các lần chọc hút
Sau ba lần can thiệp, bệnh nhân tỉnh táo, hết sốt, ăn uống tốt. Đồng thời, các chỉ số viêm được kiểm soát và tình trạng nhiễm khuẩn huyết đã ổn định. Sau 10 ngày điều trị tích cực, người bệnh được xuất viện và tiếp tục theo dõi, điều trị ngoại trú tại nhà.
Chia sẻ trong ngày ra viện, ông Q xúc động nói: “Một hành trình điều trị dài và đầy lo lắng, nhưng tôi thực sự may mắn khi được các bác sĩ cứu sống. Tôi vô cùng biết ơn các bác sĩ bệnh viện Hồng Ngọc.”
Ông Q tỉnh táo, hồi phục tốt sau 10 ngày điều trị
Theo các chuyên gia, áp xe gan đa ổ kích thước lớn là bệnh lý phức tạp, tiềm ẩn nhiều biến chứng nguy hiểm như sốc nhiễm khuẩn, vỡ ổ mủ vào ổ bụng, màng phổi hoặc trung thất đe dọa tính mạng. Việc chẩn đoán và điều trị cần được thực hiện tại các cơ sở y tế chuyên sâu, với đội ngũ bác sĩ chuyên khoa giàu kinh nghiệm lâm sàng, người bệnh không thể tự chẩn đoán và điều trị tại nhà.
Do đó, các bác sĩ khuyến cáo, khi xuất hiện các triệu chứng như sốt cao kéo dài không rõ nguyên nhân, ớn lạnh, đau tức vùng hạ sườn phải, mệt mỏi, vàng da hoặc sụt cân nhanh, người bệnh cần đi khám sớm để được phát hiện và can thiệp kịp thời, tránh những hậu quả đáng tiếc.
----------------------
KHOA TIÊU HÓA - BỆNH VIỆN ĐA KHOA HỒNG NGỌC
Số 55 Phố Yên Ninh, Phường Ba Đình, Thành phố Hà Nội