Sốt cao, rét run đến 40 độ trong suốt 4 ngày, ông T.V.H (Hà Nội) được bác sĩ phát hiện ổ áp xe gan chiếm gần trọn gan phải gây tràn dịch màng phổi, tràn dịch màng bụng, nhiễm khuẩn huyết, sốc nhiễm khuẩn, nguy kịch.
Suýt mất mạng vì ổ áp xe chiếm gần trọn gan phải
Ông T.V.H (60 tuổi, Hà Nội) cấp cứu tại BVĐK Hồng Ngọc trong tình trạng sốt cao, rét run liên tục 4 ngày, có thời điểm sốt cao tới 40°C, kèm theo mệt mỏi, suy kiệt rõ rệt. Khai thác bệnh sử được biết ông H có tiền sử tăng huyết áp, đái tháo đường nhiều năm, khiến tình trạng bệnh càng thêm nghiêm trọng.
Ngay khi tiếp nhận, ekip bác sĩ đã tiến hành cấp cứu, hồi sức tích cực, đồng thời thực hiện các kiểm tra, xét nghiệm cần thiết để xác định chính xác căn nguyên gây bệnh.
Theo đó, kết quả xét nghiệm máu cho thấy chỉ số CRP (đánh giá nhiễm khuẩn) tăng gấp 65 lần bình thường, Bạch cầu trung tính tăng rất cao, PCT - dấu ấn quan trọng trong chẩn đoán nhiễm khuẩn huyết - tăng vọt, cao gấp hơn 1000 lần ngưỡng bình thường, các chỉ số đánh giá chức năng tim, gan, mật, tụy đều ở mức báo động, cho thấy bệnh nhân đang ở trong tình trạng nhiễm khuẩn huyết nghiêm trọng, kèm tổn thương đa cơ quan.
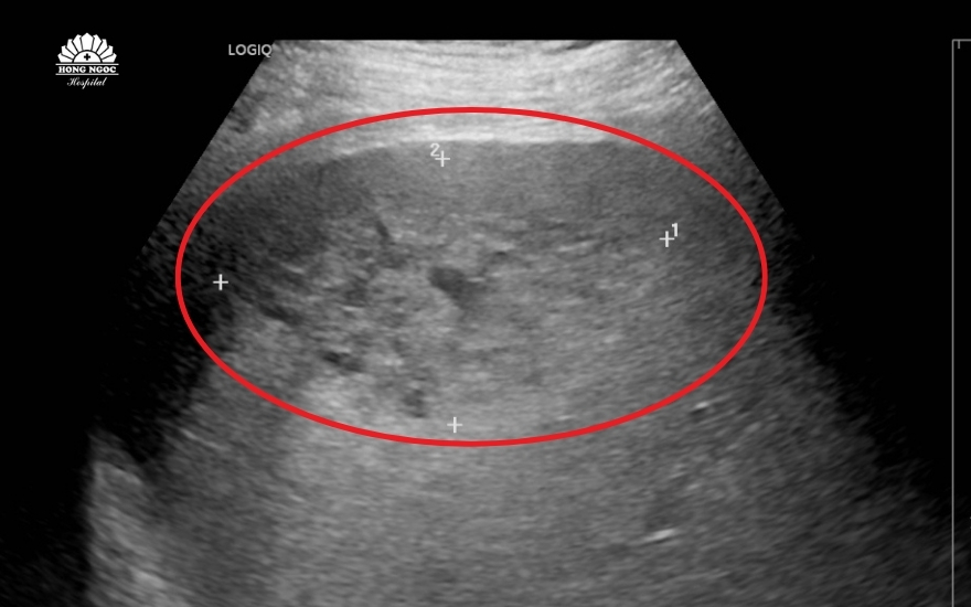
Qua siêu âm ổ bụng, các bác sĩ ghi nhận gan của ông T. to bất thường. Tại thùy gan phải xuất hiện vùng tổn thương lớn sát bao gan, gồm nhiều nang nhỏ kèm viền thâm nhiễm rộng xung quanh. Hai tổn thương chính có kích thước lần lượt 52×88 mm và 25×32 mm. Ngoài ra, bệnh nhân còn có tình trạng dịch ổ bụng và dịch màng phổi.
Ổ áp xe chiếm gần trọn gan phải đẩy người bệnh vào cơn nguy kịch
Bệnh nhân H. được xác định nhiễm khuẩn huyết nặng do ổ áp xe gan kích thước lớn, diễn tiến đến sốc nhiễm khuẩn và suy đa cơ quan, tình trạng đặc biệt nguy kịch.
“Ổ áp xe có kích thước rất lớn, gần như chiếm toàn bộ gan phải, trong khi ranh giới bên ngoài của khối áp xe nằm sát vỏ gan nên nguy cơ chảy máu hoặc vỡ ổ áp xe là rất cao. Đáng chú ý, tại thời điểm cấp cứu, tình trạng viêm từ ổ áp xe đã lan thấm ra ngoài, gây tràn dịch màng bụng và tràn dịch màng phổi, khiến diễn biến bệnh trở nên hết sức nghiêm trọng,” PGS.TS.BS Nguyễn Cảnh Bình, Trưởng khoa Tiêu hóa, BVĐK Hồng Ngọc – bác sĩ trực tiếp điều trị cho bệnh nhân H. cho biết.
3 lần chọc hút, 15 ngày điều trị tích cực đưa người bệnh qua cơn nguy kịch
Trước diễn biến nguy kịch do nhiễm khuẩn huyết nặng, sốc nhiễm khuẩn trên nền áp xe gan kích thước lớn, ê-kíp bác sĩ nhanh chóng triển khai các biện pháp hồi sức tích cực. Bệnh nhân được đặt catheter tĩnh mạch trung tâm, cho thở oxy, đồng thời truyền 3 đơn vị máu để ổn định huyết động. Song song với đó, các biện pháp hạ sốt, giảm đau và kiểm soát nhiễm trùng được thực hiện ngay từ những giờ đầu nhập viện.
Bệnh nhân được cấp cứu hồi sức tại khoa ICU
Trong quá trình điều trị, bệnh nhân được theo dõi mạch và huyết áp liên tục, kết hợp sử dụng kháng sinh liều cao nhằm kiểm soát tình trạng nhiễm khuẩn toàn thân. Các bác sĩ cũng tiến hành chụp CT để đánh giá chính xác mức độ tổn thương, đồng thời theo dõi sát quá trình dịch hóa của ổ áp xe gan, sẵn sàng can thiệp ngay khi đủ điều kiện.
Sau 5 ngày hồi sức và điều trị tích cực tại khoa Hồi sức tích cực, các chỉ số nhiễm trùng bắt đầu cải thiện rõ rệt. Chỉ số Procalcitonin (PCT) – dấu ấn của nhiễm khuẩn huyết – giảm từ 75,64 ng/ml xuống còn 10,54 ng/ml, trong khi các chỉ số đánh giá chức năng gan, thận cũng dần ổn định.
Bệnh nhân được siêu âm kiểm tra lại, kết quả ghi nhận tổn thương tại hạ phân thùy 7 tăng kích thước từ 25×32 mm lên 50×80 mm và đã chuyển sang giai đoạn hóa dịch. Dựa trên hình ảnh siêu âm cùng các chỉ số xét nghiệm, bác sĩ xác định đây là thời điểm thích hợp để tiến hành chọc hút ổ áp xe gan dưới hướng dẫn của siêu âm.
Tuy nhiên, theo PGS.TS.BS Nguyễn Cảnh Bình, việc can thiệp trong trường hợp này vẫn cần được tính toán cẩn trọng: “Việc chọc hút phải được thực hiện rất thận trọng để đường đi của kim không đi qua các mạch máu lớn, túi mật hay các tạng rỗng, đồng thời đảm bảo đi qua tối đa vùng gan lành. Bên cạnh đó, ổ áp xe có kích thước lớn và nằm sát bao gan nên tiềm ẩn nguy cơ chảy máu khi can thiệp.”
Trong lần chọc hút đầu tiên, các bác sĩ đã hút ra 70ml dịch mủ đục màu nâu nhạt từ hai khoang dịch. Dịch mủ thu được trong quá trình chọc hút được đưa đi làm xét nghiệm cấy vi sinh, qua đó xác định tác nhân gây bệnh là vi khuẩn Klebsiella pneumoniae. Trên cơ sở kết quả này, bác sĩ đã điều chỉnh phác đồ kháng sinh nhằm tối ưu hiệu quả điều trị.
Lượng dịch mủ được chọc hút và lấy ra ở lần can thiệp thứ nhất
Sau can thiệp, tình trạng nhiễm trùng của bệnh nhân cải thiện rõ rệt: chỉ số PCT giảm xuống còn 4,05 ng/ml, men gan gần trở về mức bình thường. Bệnh nhân tỉnh táo hơn, có thể ngồi dậy và đi lại nhẹ nhàng, tiếp tục được theo dõi và điều trị tích cực.
Ba ngày sau, kết quả siêu âm ổ bụng cho thấy vẫn còn dịch tồn dư trong ổ áp xe, các bác sĩ tiến hành chọc hút lần thứ hai, hút sạch mủ trong hai khoang dịch và lấy ra 45ml dịch mủ đục màu đỏ nâu. Sau lần can thiệp này, chỉ số PCT gần như trở về bình thường, tình trạng nhiễm trùng được kiểm soát tốt. Bệnh nhân được cho ra viện và theo dõi tại nhà.
Một tuần sau tái khám, bệnh nhân không còn sốt, không đau bụng, ăn uống tốt và sinh hoạt gần như bình thường. Kết quả siêu âm cho thấy vẫn còn một lượng dịch tồn dư nhỏ, các bác sĩ tiếp tục chọc hút lần thứ ba, hút ra 115ml dịch mủ đục màu đỏ nâu, giúp làm sạch hoàn toàn ổ áp xe.
Ông H hồi phục tốt, tinh thần lạc quan sau điều trị
“Từ sau lần hút thứ hai là cơ thể đã thấy nhẹ nhõm, tôi về nhà sinh hoạt gần như bình thường. Hôm qua chọc hút lần ba xong thì cảm thấy rất nhẹ nhàng, không còn mệt mỏi, các chỉ số đều tốt, ăn uống và đi lại thoải mái. Sức khỏe được như bây giờ, tôi thật sự rất cảm ơn và biết ơn PGS Cảnh Bình cùng các bác sĩ Bệnh viện Hồng Ngọc.” - Bệnh nhân H chia sẻ sau quá trình điều trị.
Sau 1 tháng tái khám, kết quả kiểm tra cho thấy khối áp xe gan đã ổn định, không còn dấu hiệu nhiễm trùng hay biến chứng. Bệnh nhân tiếp tục được theo dõi định kỳ và duy trì chế độ sinh hoạt, điều trị bệnh nền theo hướng dẫn của bác sĩ.
Áp xe gan có thể nguy hiểm đến mức nào?
Áp xe gan là tình trạng hình thành ổ mủ trong nhu mô gan do nhiễm trùng, xảy ra khi vi khuẩn, ký sinh trùng hoặc nấm xâm nhập vào gan và gây phá hủy mô gan. Quá trình viêm nhiễm khiến các tế bào gan bị hoại tử, tích tụ mủ và tạo thành một hoặc nhiều ổ áp xe trong gan.
Đây là bệnh lý nguy hiểm với diễn tiến nhanh. Nếu không được xử trí kịp thời, bệnh có thể nhanh chóng tiến triển thành nhiễm khuẩn huyết, sốc nhiễm khuẩn hoặc vỡ ổ áp xe, đe dọa trực tiếp đến tính mạng.
Theo PGS.TS.BS Nguyễn Cảnh Bình, những trường hợp áp xe gan diễn tiến nặng như bệnh nhân H. không phải hiếm gặp trong thực tế lâm sàng.
“Khoa Tiêu hóa của Bệnh viện Hồng Ngọc đã tiếp nhận và cấp cứu nhiều trường hợp áp xe gan ở giai đoạn muộn, khi người bệnh đã rơi vào tình trạng nhiễm trùng, nhiễm độc toàn thân; lý do chính là do ở giai đoạn đầu, bệnh thường biểu hiện khá mơ hồ với các triệu chứng dễ nhầm lẫn như sốt, rét run, mệt mỏi hoặc rối loạn tiêu hóa. Nhiều người có xu hướng tự điều trị tại nhà và chỉ đến bệnh viện khi tình trạng đã trở nên nghiêm trọng,” bác sĩ cho biết.
PGS.TS.BS Nguyễn Cảnh Bình thực hiện chọc hút ổ áp xe dưới hướng dẫn siêu âm
Từ thực tế điều trị, các bác sĩ khuyến cáo người dân cần đặc biệt lưu ý khi xuất hiện các dấu hiệu như sốt cao kéo dài, rét run, đau vùng hạ sườn phải, mệt mỏi hoặc chán ăn. Đây có thể là những biểu hiện cảnh báo các bệnh lý nhiễm trùng trong ổ bụng, trong đó có áp xe gan. Việc thăm khám sớm và điều trị đúng thời điểm đóng vai trò quan trọng trong việc ngăn ngừa biến chứng nguy hiểm, đồng thời giúp quá trình điều trị trở nên đơn giản và hiệu quả hơn.
Sốt cao, rét run đến 40 độ trong suốt 4 ngày, ông T.V.H (Hà Nội) được bác sĩ phát hiện ổ áp xe gan chiếm gần trọn gan phải gây tràn dịch màng phổi, tràn dịch màng bụng, nhiễm khuẩn huyết, sốc nhiễm khuẩn, nguy kịch.
Suýt mất mạng vì ổ áp xe chiếm gần trọn gan phải
Ông T.V.H (60 tuổi, Hà Nội) cấp cứu tại BVĐK Hồng Ngọc trong tình trạng sốt cao, rét run liên tục 4 ngày, có thời điểm sốt cao tới 40°C, kèm theo mệt mỏi, suy kiệt rõ rệt. Khai thác bệnh sử được biết ông H có tiền sử tăng huyết áp, đái tháo đường nhiều năm, khiến tình trạng bệnh càng thêm nghiêm trọng.
Ngay khi tiếp nhận, ekip bác sĩ đã tiến hành cấp cứu, hồi sức tích cực, đồng thời thực hiện các kiểm tra, xét nghiệm cần thiết để xác định chính xác căn nguyên gây bệnh.
Theo đó, kết quả xét nghiệm máu cho thấy chỉ số CRP (đánh giá nhiễm khuẩn) tăng gấp 65 lần bình thường, Bạch cầu trung tính tăng rất cao, PCT - dấu ấn quan trọng trong chẩn đoán nhiễm khuẩn huyết - tăng vọt, cao gấp hơn 1000 lần ngưỡng bình thường, các chỉ số đánh giá chức năng tim, gan, mật, tụy đều ở mức báo động, cho thấy bệnh nhân đang ở trong tình trạng nhiễm khuẩn huyết nghiêm trọng, kèm tổn thương đa cơ quan.
Qua siêu âm ổ bụng, các bác sĩ ghi nhận gan của ông T. to bất thường. Tại thùy gan phải xuất hiện vùng tổn thương lớn sát bao gan, gồm nhiều nang nhỏ kèm viền thâm nhiễm rộng xung quanh. Hai tổn thương chính có kích thước lần lượt 52×88 mm và 25×32 mm. Ngoài ra, bệnh nhân còn có tình trạng dịch ổ bụng và dịch màng phổi.
Ổ áp xe chiếm gần trọn gan phải đẩy người bệnh vào cơn nguy kịch
Bệnh nhân H. được xác định nhiễm khuẩn huyết nặng do ổ áp xe gan kích thước lớn, diễn tiến đến sốc nhiễm khuẩn và suy đa cơ quan, tình trạng đặc biệt nguy kịch.
“Ổ áp xe có kích thước rất lớn, gần như chiếm toàn bộ gan phải, trong khi ranh giới bên ngoài của khối áp xe nằm sát vỏ gan nên nguy cơ chảy máu hoặc vỡ ổ áp xe là rất cao. Đáng chú ý, tại thời điểm cấp cứu, tình trạng viêm từ ổ áp xe đã lan thấm ra ngoài, gây tràn dịch màng bụng và tràn dịch màng phổi, khiến diễn biến bệnh trở nên hết sức nghiêm trọng,” PGS.TS.BS Nguyễn Cảnh Bình, Trưởng khoa Tiêu hóa, BVĐK Hồng Ngọc – bác sĩ trực tiếp điều trị cho bệnh nhân H. cho biết.
3 lần chọc hút, 15 ngày điều trị tích cực đưa người bệnh qua cơn nguy kịch
Trước diễn biến nguy kịch do nhiễm khuẩn huyết nặng, sốc nhiễm khuẩn trên nền áp xe gan kích thước lớn, ê-kíp bác sĩ nhanh chóng triển khai các biện pháp hồi sức tích cực. Bệnh nhân được đặt catheter tĩnh mạch trung tâm, cho thở oxy, đồng thời truyền 3 đơn vị máu để ổn định huyết động. Song song với đó, các biện pháp hạ sốt, giảm đau và kiểm soát nhiễm trùng được thực hiện ngay từ những giờ đầu nhập viện.
Bệnh nhân được cấp cứu hồi sức tại khoa ICU
Trong quá trình điều trị, bệnh nhân được theo dõi mạch và huyết áp liên tục, kết hợp sử dụng kháng sinh liều cao nhằm kiểm soát tình trạng nhiễm khuẩn toàn thân. Các bác sĩ cũng tiến hành chụp CT để đánh giá chính xác mức độ tổn thương, đồng thời theo dõi sát quá trình dịch hóa của ổ áp xe gan, sẵn sàng can thiệp ngay khi đủ điều kiện.
Sau 5 ngày hồi sức và điều trị tích cực tại khoa Hồi sức tích cực, các chỉ số nhiễm trùng bắt đầu cải thiện rõ rệt. Chỉ số Procalcitonin (PCT) – dấu ấn của nhiễm khuẩn huyết – giảm từ 75,64 ng/ml xuống còn 10,54 ng/ml, trong khi các chỉ số đánh giá chức năng gan, thận cũng dần ổn định.
Bệnh nhân được siêu âm kiểm tra lại, kết quả ghi nhận tổn thương tại hạ phân thùy 7 tăng kích thước từ 25×32 mm lên 50×80 mm và đã chuyển sang giai đoạn hóa dịch. Dựa trên hình ảnh siêu âm cùng các chỉ số xét nghiệm, bác sĩ xác định đây là thời điểm thích hợp để tiến hành chọc hút ổ áp xe gan dưới hướng dẫn của siêu âm.
Tuy nhiên, theo PGS.TS.BS Nguyễn Cảnh Bình, việc can thiệp trong trường hợp này vẫn cần được tính toán cẩn trọng: “Việc chọc hút phải được thực hiện rất thận trọng để đường đi của kim không đi qua các mạch máu lớn, túi mật hay các tạng rỗng, đồng thời đảm bảo đi qua tối đa vùng gan lành. Bên cạnh đó, ổ áp xe có kích thước lớn và nằm sát bao gan nên tiềm ẩn nguy cơ chảy máu khi can thiệp.”
Trong lần chọc hút đầu tiên, các bác sĩ đã hút ra 70ml dịch mủ đục màu nâu nhạt từ hai khoang dịch. Dịch mủ thu được trong quá trình chọc hút được đưa đi làm xét nghiệm cấy vi sinh, qua đó xác định tác nhân gây bệnh là vi khuẩn Klebsiella pneumoniae. Trên cơ sở kết quả này, bác sĩ đã điều chỉnh phác đồ kháng sinh nhằm tối ưu hiệu quả điều trị.
Lượng dịch mủ được chọc hút và lấy ra ở lần can thiệp thứ nhất
Sau can thiệp, tình trạng nhiễm trùng của bệnh nhân cải thiện rõ rệt: chỉ số PCT giảm xuống còn 4,05 ng/ml, men gan gần trở về mức bình thường. Bệnh nhân tỉnh táo hơn, có thể ngồi dậy và đi lại nhẹ nhàng, tiếp tục được theo dõi và điều trị tích cực.
Ba ngày sau, kết quả siêu âm ổ bụng cho thấy vẫn còn dịch tồn dư trong ổ áp xe, các bác sĩ tiến hành chọc hút lần thứ hai, hút sạch mủ trong hai khoang dịch và lấy ra 45ml dịch mủ đục màu đỏ nâu. Sau lần can thiệp này, chỉ số PCT gần như trở về bình thường, tình trạng nhiễm trùng được kiểm soát tốt. Bệnh nhân được cho ra viện và theo dõi tại nhà.
Một tuần sau tái khám, bệnh nhân không còn sốt, không đau bụng, ăn uống tốt và sinh hoạt gần như bình thường. Kết quả siêu âm cho thấy vẫn còn một lượng dịch tồn dư nhỏ, các bác sĩ tiếp tục chọc hút lần thứ ba, hút ra 115ml dịch mủ đục màu đỏ nâu, giúp làm sạch hoàn toàn ổ áp xe.
Ông H hồi phục tốt, tinh thần lạc quan sau điều trị
“Từ sau lần hút thứ hai là cơ thể đã thấy nhẹ nhõm, tôi về nhà sinh hoạt gần như bình thường. Hôm qua chọc hút lần ba xong thì cảm thấy rất nhẹ nhàng, không còn mệt mỏi, các chỉ số đều tốt, ăn uống và đi lại thoải mái. Sức khỏe được như bây giờ, tôi thật sự rất cảm ơn và biết ơn PGS Cảnh Bình cùng các bác sĩ Bệnh viện Hồng Ngọc.” - Bệnh nhân H chia sẻ sau quá trình điều trị.
Sau 1 tháng tái khám, kết quả kiểm tra cho thấy khối áp xe gan đã ổn định, không còn dấu hiệu nhiễm trùng hay biến chứng. Bệnh nhân tiếp tục được theo dõi định kỳ và duy trì chế độ sinh hoạt, điều trị bệnh nền theo hướng dẫn của bác sĩ.
Áp xe gan có thể nguy hiểm đến mức nào?
Áp xe gan là tình trạng hình thành ổ mủ trong nhu mô gan do nhiễm trùng, xảy ra khi vi khuẩn, ký sinh trùng hoặc nấm xâm nhập vào gan và gây phá hủy mô gan. Quá trình viêm nhiễm khiến các tế bào gan bị hoại tử, tích tụ mủ và tạo thành một hoặc nhiều ổ áp xe trong gan.
Đây là bệnh lý nguy hiểm với diễn tiến nhanh. Nếu không được xử trí kịp thời, bệnh có thể nhanh chóng tiến triển thành nhiễm khuẩn huyết, sốc nhiễm khuẩn hoặc vỡ ổ áp xe, đe dọa trực tiếp đến tính mạng.
Theo PGS.TS.BS Nguyễn Cảnh Bình, những trường hợp áp xe gan diễn tiến nặng như bệnh nhân H. không phải hiếm gặp trong thực tế lâm sàng.
“Khoa Tiêu hóa của Bệnh viện Hồng Ngọc đã tiếp nhận và cấp cứu nhiều trường hợp áp xe gan ở giai đoạn muộn, khi người bệnh đã rơi vào tình trạng nhiễm trùng, nhiễm độc toàn thân; lý do chính là do ở giai đoạn đầu, bệnh thường biểu hiện khá mơ hồ với các triệu chứng dễ nhầm lẫn như sốt, rét run, mệt mỏi hoặc rối loạn tiêu hóa. Nhiều người có xu hướng tự điều trị tại nhà và chỉ đến bệnh viện khi tình trạng đã trở nên nghiêm trọng,” bác sĩ cho biết.
PGS.TS.BS Nguyễn Cảnh Bình thực hiện chọc hút ổ áp xe dưới hướng dẫn siêu âm
Từ thực tế điều trị, các bác sĩ khuyến cáo người dân cần đặc biệt lưu ý khi xuất hiện các dấu hiệu như sốt cao kéo dài, rét run, đau vùng hạ sườn phải, mệt mỏi hoặc chán ăn. Đây có thể là những biểu hiện cảnh báo các bệnh lý nhiễm trùng trong ổ bụng, trong đó có áp xe gan. Việc thăm khám sớm và điều trị đúng thời điểm đóng vai trò quan trọng trong việc ngăn ngừa biến chứng nguy hiểm, đồng thời giúp quá trình điều trị trở nên đơn giản và hiệu quả hơn.