Cứ 5 phụ nữ thì 1 người có dấu hiệu buồng trứng đa nang – một yếu tố gây muộn mằn đường con cái. Những người có chu kỳ kinh ngắn 25 ngày, dài trên 35 ngày hay không đều luôn tiềm ẩn nguy cơ bị bệnh này.
Buồng trứng đa nang
có một lớp vỏ dày chắc và không có sẹo phóng noãn. Ta thử hình dung các nang trứng là các quả bóng thổi cao su. Nếu như những quả bóng này được thổi trong một thùng kín, thành dày, ta không thể thổi to lên, bóng không thể rạn và vỡ được, nếu có vỡ thì cũng không thông với bên ngoài được. Tương tự như vậy, do vỏ buồng trứng dày, hằng tháng, các nang trứng không thể lớn lên nhiều, cũng như không thể phá vỡ lớp vỏ dày để có hiện tượng phóng noãn.
Phụ nữ có chu kỳ kinh ngắn 25 ngày hoặc chu kỳ dài trên 35 ngày, chu kỳ không đều luôn tiềm ẩn nguy cơ không phóng noãn. Khoảng 3/4 trường hợp không phóng noãn liên quan đến “hội chứng buồng trứng đa nang”.
Biểu hiện của buồng trứng đa nang
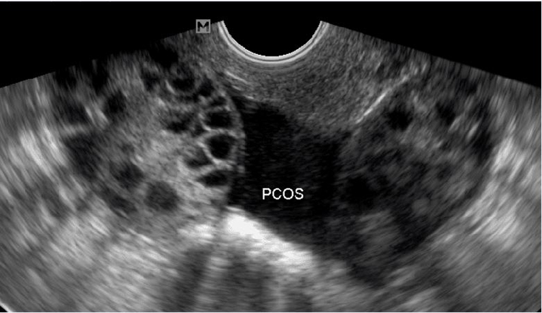
Biểu hiện ban đầu của hội chứng này là kinh nguyệt không đều, thường là dài, số lượng máu kinh ít thất thường. Tuổi dậy thì kéo dài 2-3 năm, sau giai đoạn này kinh nguyệt sẽ đều. Sau vài năm mà vẫn không thấy kinh đều thì có thể đã mắc hội chứng này. Nếu không điều trị gì, 17% trường hợp vẫn có thể mang thai tự nhiên. Số còn lại sẽ diễn biến như sau: Các nang trứng không to lên được, không vỡ được, nằm dưới lớp vỏ dày của buồng trứng. Khi siêu âm, đặc biệt là siêu âm bằng đầu dò qua đường âm đạo, sẽ thấy nhiều nang trứng kích thước dưới 10 mm, phân bố như chuỗi hạt đeo cổ nằm ngay lớp vỏ buồng trứng.
Trong các nang trứng có một lượng hoóc môn tích tụ dần, làm thay đổi đáng kể nội tiết của người phụ nữ. Nồng độ nội tiết nam trong cơ thể tăng lên, khiến lông phát triển ở những vị trí giống nam giới như mọc ria mép, lông mày rậm, lông chân nhiều, lông bụng nhiều. Trong cơ thể, nồng độ nội tiết
nam và nữ đều cao, tuy có một vài dấu hiệu rậm lông, nhưng nhu cầu và hoạt động tính dục nữ vẫn bình thường.
Điều trị buồng trứng đa nang
Thông thường, việc khám và điều trị buồng trứng đa nang có khác nhau ở những phụ nữ muốn và chưa muốn có thai, nhưng cùng chung một nguyên tắc là gây phóng noãn.
Những phụ nữ chưa muốn có thai, hoặc chưa lập gia đình, chưa có quan hệ tình dục sẽ được điều trị bằng thuốc kích thích phóng noãn với hy vọng làm nang trứng phát triển to lên, rạn và vỡ.
Khả năng thành công tùy thuộc vào độ dày của vỏ buồng trứng và sự đáp ứng thuốc của từng cơ thể. Khi dùng thuốc gây phóng noãn, phụ nữ có thể mang thai, nhưng không được dùng thuốc tránh thai vì bản chất của nó là ức chế phóng noãn. Vì vậy, nếu chưa muốn có con, hãy chọn phương pháp tránh thai khác.
Với những phụ nữ muốn có thai, sẽ có 3 bước điều trị lần lượt. Trước hết, họ sẽ được kích thích thử buồng trứng bằng các thuốc kích thích phóng noãn. Trong quá trình dùng thuốc, bác sĩ sẽ theo dõi phát triển nang noãn bằng đầu dò âm đạo. Một số nơi không có sẵn hình thức siêu âm này, có thể theo dõi bằng đầu dò qua đường bụng.
Cách này có độ chính xác không cao vì các nang trứng thường nhỏ và phóng noãn ở kích thước 20-25 mm. Một số nơi khác áp dụng que thử phóng noãn dùng nước tiểu. Phương pháp này thuận tiện nhưng độ chính xác không cao. Trong từng trường hợp cụ thể, bác sĩ sẽ có chỉ định theo dõi một trong 3 cách trên.
Xử trí tiếp theo là can thiệp ngoại khoa buồng trứng. Bề mặt dày của buồng trứng có thể là nguyên nhân làm cho các nang noãn
không vỡ và giải phóng ra ngoài. Việc cắt bỏ một phần hoặc chọc thủng vài vị trí bề mặt buồng trứng bằng nội soi là cách giải quyết cho hội chứng này.
Ngoài việc chọc vài điểm trên bề mặt buồng trứng để phá vỡ bức tường dày, bác sĩ thường chọc bớt một vài nang noãn phát triển dở dang trước kia để làm thay đổi nội tiết, làm tăng tác dụng của thuốc kích thích phóng noãn. Động tác này cũng giúp các nang noãn có cơ hội phát triển và lách vào những khoảng trống vừa tạo để to lên và vỡ ra ngoài.
Với cách điều trị này, 50-60% trường hợp hiếm muộn đơn thuần (chỉ do hội chứng buồng trứng đa nang mà không kết hợp các bệnh khác kèm theo) đã có thai. Bệnh viện Phụ sản Hà Nội thay vì chọc vài điểm đã áp dụng xẻ các đường song song trên bề mặt buồng trứng để tạo khoảng trống hơn, nhờ đó nâng tỷ lệ có thai lên 67%.
Nếu qua 6 chu kỳ không thành công, nên áp dụng các phương pháp kích thích phóng noãn như bước một. Không kích thích buồng trứng quá 6 chu kỳ.
Nếu thất bại, bệnh nhân nên áp dụng tiến bộ mới nhất của y học là thụ tinh trong ống nghiệm. Vì sao không nên kích thích buồng trứng kéo dài hơn nữa? Có rất nhiều lời giải thích, nhưng chỉ xem xét về khía cạnh thời gian cũng đã thấy nên vậy.
Nếu kích thích 6 chu kỳ kinh tức mất tối thiểu là 6 tháng, thông thường sẽ kéo dài 10-12 tháng, nếu kết hợp bước 1 và 2 thì việc điều trị sẽ chiếm khoảng 18-24 tháng, mà đâu phải bệnh nhân nào cũng có thời gian đến cơ sở y tế liên tục như vậy. Nếu kéo dài hơn, tỷ lệ thành công cũng không cao; mặt khác bệnh nhân lớn tuổi sẽ khó khăn cho kỹ thuật thụ tinh trong ống nghiệm.
Người bị buồng trứng đa nang cũng dễ bị sẩy thai. Vì vậy, nếu có thai rồi, nên hỗ trợ bằng nội tiết tố nhau thai. Nhau thai và hoàng thể tiết ra hCG, chất này có trong 12-16 tuần đầu thai nghén. Bệnh nhân có thể được dùng thêm thuốc có chứa chất này trong giới hạn không quá 16 tuần đầu.
Hy vọng bài viết trên đây phần nào cung cấp những thông tin cần tin cần thiết về vấn đề bạn đọc đang quan tâm.
Theo dõi fanpage của Bệnh viện Đa khoa Hồng Ngọc để biết thêm thông tin bổ ích khác: https://www.facebook.com/BenhvienHongNgoc/
Cứ 5 phụ nữ thì 1 người có dấu hiệu buồng trứng đa nang – một yếu tố gây muộn mằn đường con cái. Những người có chu kỳ kinh ngắn 25 ngày, dài trên 35 ngày hay không đều luôn tiềm ẩn nguy cơ bị bệnh này.
Buồng trứng đa nang
có một lớp vỏ dày chắc và không có sẹo phóng noãn. Ta thử hình dung các nang trứng là các quả bóng thổi cao su. Nếu như những quả bóng này được thổi trong một thùng kín, thành dày, ta không thể thổi to lên, bóng không thể rạn và vỡ được, nếu có vỡ thì cũng không thông với bên ngoài được. Tương tự như vậy, do vỏ buồng trứng dày, hằng tháng, các nang trứng không thể lớn lên nhiều, cũng như không thể phá vỡ lớp vỏ dày để có hiện tượng phóng noãn.
Phụ nữ có chu kỳ kinh ngắn 25 ngày hoặc chu kỳ dài trên 35 ngày, chu kỳ không đều luôn tiềm ẩn nguy cơ không phóng noãn. Khoảng 3/4 trường hợp không phóng noãn liên quan đến “hội chứng buồng trứng đa nang”.
Biểu hiện của buồng trứng đa nang
Biểu hiện ban đầu của hội chứng này là kinh nguyệt không đều, thường là dài, số lượng máu kinh ít thất thường. Tuổi dậy thì kéo dài 2-3 năm, sau giai đoạn này kinh nguyệt sẽ đều. Sau vài năm mà vẫn không thấy kinh đều thì có thể đã mắc hội chứng này. Nếu không điều trị gì, 17% trường hợp vẫn có thể mang thai tự nhiên. Số còn lại sẽ diễn biến như sau: Các nang trứng không to lên được, không vỡ được, nằm dưới lớp vỏ dày của buồng trứng. Khi siêu âm, đặc biệt là siêu âm bằng đầu dò qua đường âm đạo, sẽ thấy nhiều nang trứng kích thước dưới 10 mm, phân bố như chuỗi hạt đeo cổ nằm ngay lớp vỏ buồng trứng.
Trong các nang trứng có một lượng hoóc môn tích tụ dần, làm thay đổi đáng kể nội tiết của người phụ nữ. Nồng độ nội tiết nam trong cơ thể tăng lên, khiến lông phát triển ở những vị trí giống nam giới như mọc ria mép, lông mày rậm, lông chân nhiều, lông bụng nhiều. Trong cơ thể, nồng độ nội tiết
nam và nữ đều cao, tuy có một vài dấu hiệu rậm lông, nhưng nhu cầu và hoạt động tính dục nữ vẫn bình thường.
Điều trị buồng trứng đa nang
Thông thường, việc khám và điều trị buồng trứng đa nang có khác nhau ở những phụ nữ muốn và chưa muốn có thai, nhưng cùng chung một nguyên tắc là gây phóng noãn.
Những phụ nữ chưa muốn có thai, hoặc chưa lập gia đình, chưa có quan hệ tình dục sẽ được điều trị bằng thuốc kích thích phóng noãn với hy vọng làm nang trứng phát triển to lên, rạn và vỡ.
Khả năng thành công tùy thuộc vào độ dày của vỏ buồng trứng và sự đáp ứng thuốc của từng cơ thể. Khi dùng thuốc gây phóng noãn, phụ nữ có thể mang thai, nhưng không được dùng thuốc tránh thai vì bản chất của nó là ức chế phóng noãn. Vì vậy, nếu chưa muốn có con, hãy chọn phương pháp tránh thai khác.
Với những phụ nữ muốn có thai, sẽ có 3 bước điều trị lần lượt. Trước hết, họ sẽ được kích thích thử buồng trứng bằng các thuốc kích thích phóng noãn. Trong quá trình dùng thuốc, bác sĩ sẽ theo dõi phát triển nang noãn bằng đầu dò âm đạo. Một số nơi không có sẵn hình thức siêu âm này, có thể theo dõi bằng đầu dò qua đường bụng.
Cách này có độ chính xác không cao vì các nang trứng thường nhỏ và phóng noãn ở kích thước 20-25 mm. Một số nơi khác áp dụng que thử phóng noãn dùng nước tiểu. Phương pháp này thuận tiện nhưng độ chính xác không cao. Trong từng trường hợp cụ thể, bác sĩ sẽ có chỉ định theo dõi một trong 3 cách trên.
Xử trí tiếp theo là can thiệp ngoại khoa buồng trứng. Bề mặt dày của buồng trứng có thể là nguyên nhân làm cho các nang noãn
không vỡ và giải phóng ra ngoài. Việc cắt bỏ một phần hoặc chọc thủng vài vị trí bề mặt buồng trứng bằng nội soi là cách giải quyết cho hội chứng này.
Ngoài việc chọc vài điểm trên bề mặt buồng trứng để phá vỡ bức tường dày, bác sĩ thường chọc bớt một vài nang noãn phát triển dở dang trước kia để làm thay đổi nội tiết, làm tăng tác dụng của thuốc kích thích phóng noãn. Động tác này cũng giúp các nang noãn có cơ hội phát triển và lách vào những khoảng trống vừa tạo để to lên và vỡ ra ngoài.
Với cách điều trị này, 50-60% trường hợp hiếm muộn đơn thuần (chỉ do hội chứng buồng trứng đa nang mà không kết hợp các bệnh khác kèm theo) đã có thai. Bệnh viện Phụ sản Hà Nội thay vì chọc vài điểm đã áp dụng xẻ các đường song song trên bề mặt buồng trứng để tạo khoảng trống hơn, nhờ đó nâng tỷ lệ có thai lên 67%.
Nếu qua 6 chu kỳ không thành công, nên áp dụng các phương pháp kích thích phóng noãn như bước một. Không kích thích buồng trứng quá 6 chu kỳ.
Nếu thất bại, bệnh nhân nên áp dụng tiến bộ mới nhất của y học là thụ tinh trong ống nghiệm. Vì sao không nên kích thích buồng trứng kéo dài hơn nữa? Có rất nhiều lời giải thích, nhưng chỉ xem xét về khía cạnh thời gian cũng đã thấy nên vậy.
Nếu kích thích 6 chu kỳ kinh tức mất tối thiểu là 6 tháng, thông thường sẽ kéo dài 10-12 tháng, nếu kết hợp bước 1 và 2 thì việc điều trị sẽ chiếm khoảng 18-24 tháng, mà đâu phải bệnh nhân nào cũng có thời gian đến cơ sở y tế liên tục như vậy. Nếu kéo dài hơn, tỷ lệ thành công cũng không cao; mặt khác bệnh nhân lớn tuổi sẽ khó khăn cho kỹ thuật thụ tinh trong ống nghiệm.
Người bị buồng trứng đa nang cũng dễ bị sẩy thai. Vì vậy, nếu có thai rồi, nên hỗ trợ bằng nội tiết tố nhau thai. Nhau thai và hoàng thể tiết ra hCG, chất này có trong 12-16 tuần đầu thai nghén. Bệnh nhân có thể được dùng thêm thuốc có chứa chất này trong giới hạn không quá 16 tuần đầu.
Hy vọng bài viết trên đây phần nào cung cấp những thông tin cần tin cần thiết về vấn đề bạn đọc đang quan tâm.
Theo dõi fanpage của Bệnh viện Đa khoa Hồng Ngọc để biết thêm thông tin bổ ích khác: https://www.facebook.com/BenhvienHongNgoc/