Bạch cầu là thành phần vô cùng quan trọng có nhiệm vụ tăng cường sức đề kháng của cơ thể, chống lại các tác nhân gây bệnh, đặc biệt là các bệnh về nhiễm khuẩn, nhiễm ký sinh trùng, nhiễm độc…
Bạch cầu là gì?
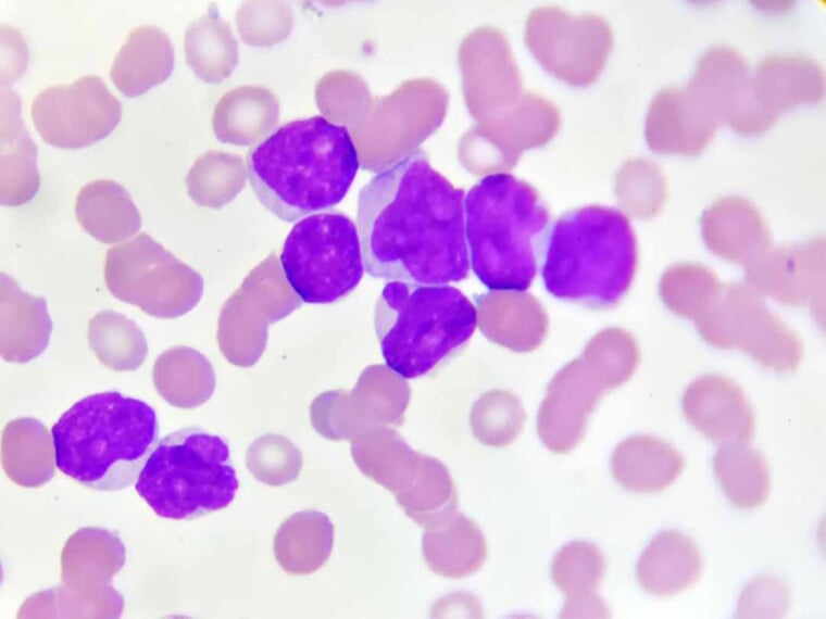
Bạch cầu (hay còn gọi là hạch bạch huyết, tế bào miễn dịch) là thành phần quan trọng của máu, có chức năng chống lại các tác nhân lạ đi vào cơ thể. Khi phát hiện tác nhân lạ, virus, vi khuẩn… bạch cầu sẽ tiến hàng khử độc, sản xuất kháng thể, giải phóng các chất dẫn truyền hóa học để bảo vệ cơ thể.
Phân loại bạch cầu
Có nhiều loại bạch cầu khác nhau và đảm nhận những chức năng khác nhau nhưng đều chung một mục tiêu là bảo vệ cơ thể. Căn cứ vào hình dáng của nhân và có hoặc không có hạt bào tương trong tế bào, sẽ phân ra các loại bạch cầu gồm:
Bạch cầu hạt (bạch cầu đa nhân)
Chứa những hạt lớn trong bào tương. Trong bạch cầu hạt lại chia ra: bạch cầu trung tính, bạch cầu ái kiềm và bạch cầu ái toan.
+ Bạch cầu trung tính: Chiếm phần lớn các tế bào bạch cầu trong cơ thể, có nhiệm vụ tiêu diệt vi khuẩn và nấm trong cơ thể nếu có.
+ Bạch cầu ái kiềm: Chiếm ít hơn 1% tế bào bạch cầu trong cơ thể và thường tăng số lượng sau một phản ứng dị ứng.
+ Bạch cầu ái toan: Chịu trách nhiệm đáp ứng với tình trạng nhiễm trùng do ký sinh trùng gây ra. Đồng thời cũng đóng vai trò quan trọng trong phản ứng miễn dịch, phản ứng viêm của cơ thể.
Tế bào lympho
Tế bào lympho bao gồm:
+ Tế bào lympho B: Tạo ra các kháng thể để giúp hệ thống miễn dịch gắn kết với phản ứng với nhiễm trùng.
+ Tế bào lympho T: Giúp nhận biết và loại bỏ các tế bào gây nhiễm trùng. Sau khi được hoạt hóa, bạch cầu Lympho T sẽ tấn công các kháng nguyên xâm nhập vào cơ thể bằng cách tấn công trực tiếp hoặc giải phóng lymphokin. Lymphokin sẽ thu hút bạch cầu hạt đến xâm nhập, tấn công kháng nguyên.
Bạch cầu không hạt (bạch cầu đơn nhân)
Chiếm khoảng 2 - 8% tổng số tế bào bạch cầu trong cơ thể. Các tế bào bạch cầu này xuất hiện khi cơ thể chống lại nhiễm trùng mãn tính, chúng sẽ phá hủy các tế bào gây nhiễm trùng.
Chỉ số WBC là gì?
Chỉ số Wbc (White Blood Cell) thể hiện số lượng bạch cầu trong một thể tích máu, gồm 3 trường hợp:
Mức độ bình thường của bạch cầu
Trẻ sơ sinh 13000 – 38000/ mm3
Trẻ 2 tuần tuổi 5000 – 20000/ mm3
Người trưởng thành 4500 – 11000/ mm3
Thai phụ vào thời kì tam cá nguyệt thứ 3 số lượng bạch cầu dao động trong khoảng từ 5800 – 13200/mm3
Số lượng bạch cầu cao
Số lượng bạch cầu cao có thể do các nguyên nhân sau:
- Phản ứng dị ứng của cơ thể như cơn hen;
- Những nguyên nhân khiến tế bào chết như bỏng, đau tim và chấn thương;
- Tình trạng viêm: viêm khớp dạng thấp, bệnh viêm ruột, viêm mạch máu;
- Nhiễm vi khuẩn, vi rút, nấm, ký sinh trùng;
- Bệnh bạch cầu;
- Các thủ thuật, phẫu thuật khiến tế bào chết cũng có thể gây ra số lượng bạch cầu cao.
Số lượng bạch cầu thấp
Các tình trạng có thể gây giảm lượng bạch cầu bao gồm:
- Điều kiện tự miễn dịch như lupus và HIV
- Tổn thương tủy xương, chẳng hạn như từ hóa trị liệu, xạ trị hoặc tiếp xúc với độc tố.
- Rối loạn tủy xương;
- Bệnh bạch cầu;
- Ung thư hạch;
- Nhiễm trùng huyết;
- Thiếu vitamin B-12.
Số lượng bạch cầu tăng cao hoặc giảm là những chỉ số quan trọng để bác sĩ có thể tiên lượng được tình trạng sức khỏe của người bệnh.
Để được tư vấn về các chương trình ưu đãi cũng như những kiến thức bổ ích về chăm sóc sức khỏe, vui lòng truy cập fanpage:
https://www.facebook.com/BenhvienHongNgoc
Bạch cầu là thành phần vô cùng quan trọng có nhiệm vụ tăng cường sức đề kháng của cơ thể, chống lại các tác nhân gây bệnh, đặc biệt là các bệnh về nhiễm khuẩn, nhiễm ký sinh trùng, nhiễm độc…
Bạch cầu là gì?
Bạch cầu (hay còn gọi là hạch bạch huyết, tế bào miễn dịch) là thành phần quan trọng của máu, có chức năng chống lại các tác nhân lạ đi vào cơ thể. Khi phát hiện tác nhân lạ, virus, vi khuẩn… bạch cầu sẽ tiến hàng khử độc, sản xuất kháng thể, giải phóng các chất dẫn truyền hóa học để bảo vệ cơ thể.
Phân loại bạch cầu
Có nhiều loại bạch cầu khác nhau và đảm nhận những chức năng khác nhau nhưng đều chung một mục tiêu là bảo vệ cơ thể. Căn cứ vào hình dáng của nhân và có hoặc không có hạt bào tương trong tế bào, sẽ phân ra các loại bạch cầu gồm:
Bạch cầu hạt (bạch cầu đa nhân)
Chứa những hạt lớn trong bào tương. Trong bạch cầu hạt lại chia ra: bạch cầu trung tính, bạch cầu ái kiềm và bạch cầu ái toan.
+ Bạch cầu trung tính: Chiếm phần lớn các tế bào bạch cầu trong cơ thể, có nhiệm vụ tiêu diệt vi khuẩn và nấm trong cơ thể nếu có.
+ Bạch cầu ái kiềm: Chiếm ít hơn 1% tế bào bạch cầu trong cơ thể và thường tăng số lượng sau một phản ứng dị ứng.
+ Bạch cầu ái toan: Chịu trách nhiệm đáp ứng với tình trạng nhiễm trùng do ký sinh trùng gây ra. Đồng thời cũng đóng vai trò quan trọng trong phản ứng miễn dịch, phản ứng viêm của cơ thể.
Tế bào lympho
Tế bào lympho bao gồm:
+ Tế bào lympho B: Tạo ra các kháng thể để giúp hệ thống miễn dịch gắn kết với phản ứng với nhiễm trùng.
+ Tế bào lympho T: Giúp nhận biết và loại bỏ các tế bào gây nhiễm trùng. Sau khi được hoạt hóa, bạch cầu Lympho T sẽ tấn công các kháng nguyên xâm nhập vào cơ thể bằng cách tấn công trực tiếp hoặc giải phóng lymphokin. Lymphokin sẽ thu hút bạch cầu hạt đến xâm nhập, tấn công kháng nguyên.
Bạch cầu không hạt (bạch cầu đơn nhân)
Chiếm khoảng 2 - 8% tổng số tế bào bạch cầu trong cơ thể. Các tế bào bạch cầu này xuất hiện khi cơ thể chống lại nhiễm trùng mãn tính, chúng sẽ phá hủy các tế bào gây nhiễm trùng.
Chỉ số WBC là gì?
Chỉ số Wbc (White Blood Cell) thể hiện số lượng bạch cầu trong một thể tích máu, gồm 3 trường hợp:
Mức độ bình thường của bạch cầu
Trẻ sơ sinh 13000 – 38000/ mm3
Trẻ 2 tuần tuổi 5000 – 20000/ mm3
Người trưởng thành 4500 – 11000/ mm3
Thai phụ vào thời kì tam cá nguyệt thứ 3 số lượng bạch cầu dao động trong khoảng từ 5800 – 13200/mm3
Số lượng bạch cầu cao
Số lượng bạch cầu cao có thể do các nguyên nhân sau:
- Phản ứng dị ứng của cơ thể như cơn hen;
- Những nguyên nhân khiến tế bào chết như bỏng, đau tim và chấn thương;
- Tình trạng viêm: viêm khớp dạng thấp, bệnh viêm ruột, viêm mạch máu;
- Nhiễm vi khuẩn, vi rút, nấm, ký sinh trùng;
- Bệnh bạch cầu;
- Các thủ thuật, phẫu thuật khiến tế bào chết cũng có thể gây ra số lượng bạch cầu cao.
Số lượng bạch cầu thấp
Các tình trạng có thể gây giảm lượng bạch cầu bao gồm:
- Điều kiện tự miễn dịch như lupus và HIV
- Tổn thương tủy xương, chẳng hạn như từ hóa trị liệu, xạ trị hoặc tiếp xúc với độc tố.
- Rối loạn tủy xương;
- Bệnh bạch cầu;
- Ung thư hạch;
- Nhiễm trùng huyết;
- Thiếu vitamin B-12.
Số lượng bạch cầu tăng cao hoặc giảm là những chỉ số quan trọng để bác sĩ có thể tiên lượng được tình trạng sức khỏe của người bệnh.
Để được tư vấn về các chương trình ưu đãi cũng như những kiến thức bổ ích về chăm sóc sức khỏe, vui lòng truy cập fanpage:
https://www.facebook.com/BenhvienHongNgoc