Severe carotid artery stenosis detected after fainting at the airport; at high risk of stroke, the 79-year-old Israeli man was fortunate to have cerebral blood flow restored in time at Hong Ngoc General Hospital.
Syncope and transient loss of consciousness due to complete occlusion of the carotid artery.
Immediately after arriving at Noi Bai International Airport during his trip to Vietnam, Mr. Jack Halpern (79 years old, Israeli nationality) suddenly experienced dizziness, blurred vision, and collapsed in the restroom. After regaining consciousness, he sought medical evaluation at Hong Ngoc General Hospital presenting with transient memory loss, unable to recall events that had occurred beforehand, accompanied by profound fatigue and cold extremities.
Mr. Halpern reported that although he had undergone regular medical check-ups and had adhered consistently to long-term cardiovascular pharmacotherapy in Japan for many years, his blood pressure remained poorly controlled, frequently fluctuating around 150/100 mmHg, and at times spiking to 180/100 mmHg. In addition, he has a medical history significant for dyslipidemia and heart failure.
Immediately upon receiving the patient, Dr. Cao Manh Hung, MSc, Resident Doctor – Cardiology and Interventional Cardiology Department, Hong Ngoc Phuc Truong Minh General Hospital assessed that Mr. Halpern showed typical signs of a transient ischemic attack (TIA), carrying a very high risk of stroke.
Subsequent paraclinical test results revealed severe stenosis (>90%) of the right internal carotid artery at its origin, accompanied by multiple atherosclerotic plaques. In addition, the coronary arterial system was also found to have over 90% stenosis in the left anterior descending (LAD) artery.
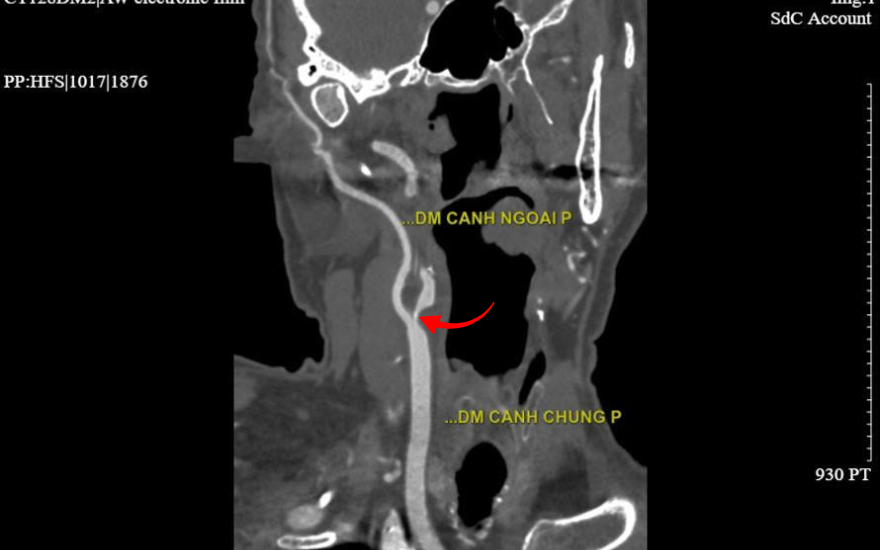
The site of carotid artery stenosis on the 2560-slice CT imaging.
Severe carotid artery stenosis, which reduces or obstructs blood flow to the brain, was identified as the underlying cause of the dangerous symptoms experienced by Mr. Halpern. Dr. Hung warned: “If the arterial lumen is not promptly revascularized, the patient may face a cerebrovascular accident (stroke) with severe sequelae such as paralysis, speech impairment, cognitive decline, and even life-threatening complications.”
An interventional strategy from the heart to the brain: Stepwise – Safe – Precise
Given the complex and severe clinical condition in an elderly patient with multiple risk factors such as Mr. Halpern, the interventional team determined that carotid artery intervention could not be performed immediately.
Instead, the patient required a carefully planned and individualized treatment strategy, in which accurate cardiovascular assessment and optimization of cardiac function played a pivotal role in ensuring the highest level of safety throughout the interventional procedure.
Explaining the treatment strategy, Dr. Nguyen Van Hai, MD, MSc – Head of the Cardiology Department and the physician who directly performed the intervention for Mr. Halpern, stated: “The carotid sinus is a sensitive region in the neck that plays an important role in regulating blood pressure and heart rate. Intervention in this area may trigger physiological reflexes leading to hypotension or bradycardia. Therefore, if the patient simultaneously has coronary artery disease, as in Mr. Halpern’s case, we usually treat the coronary artery first to stabilize cardiac function, and then proceed with carotid intervention to ensure greater procedural safety.”
Accordingly, the medical team decided to divide the intervention into two stages, while simultaneously implementing intensive medical therapy to stabilize the patient’s underlying conditions prior to the procedure.
During the first intervention, Mr. Halpern underwent coronary artery stent placement to prevent the risk of acute myocardial infarction, a complication that could directly threaten his life.
After five days, once his condition had stabilized and coronary blood flow had been effectively restored, the medical team proceeded with carotid artery stenting to dilate the severely narrowed segment, thereby restoring cerebral perfusion and reducing the risk of stroke.
The medical team performed carotid artery stent placement for the patient.
Dr. Hai also noted: “Throughout the interventional procedure, we continuously monitored and strictly controlled the patient’s vital signs to ensure the brain was protected at the highest possible level.”
Immediately on the interventional table, after the procedure had been completed, Mr. Halpern reported that his symptoms had almost completely resolved, with no more headache or dizziness.
Three days after the second intervention, Mr. Halpern was alert, recovered rapidly, and was discharged from the hospital.
After the intervention, Mr. Halpern was further advised by physicians to strictly control cardiovascular risk factors, including hypertension and dyslipidemia. He was also instructed to adhere rigorously to antiplatelet therapy in order to prevent complications, particularly the risk of in-stent restenosis.
From this representative clinical case, Dr. Hai emphasized that patients presenting with symptoms suggestive of stroke such as limb weakness or paralysis, loss of consciousness, facial drooping, hemiplegia, blurred vision, among others or those who have already been diagnosed with cerebrovascular disease in the presence of cardiovascular risk factors, should undergo regular medical check-ups and carotid Doppler ultrasound screening.
This is a non-invasive diagnostic modality that enables early detection and accurate assessment of carotid artery stenosis or occlusion, thereby facilitating timely therapeutic planning and interventional management.
Cardiology – Interventional Cardiology Department Hong Ngoc General Hospital
55 Yen Ninh Street, Ba Dinh Ward, Hanoi
No. 8 Chau Van Liem Street, Tu Liem Ward, Hanoi
Hotline: (+84) 911 858 626 📞
Severe carotid artery stenosis detected after fainting at the airport; at high risk of stroke, the 79-year-old Israeli man was fortunate to have cerebral blood flow restored in time at Hong Ngoc General Hospital.
Syncope and transient loss of consciousness due to complete occlusion of the carotid artery.
Immediately after arriving at Noi Bai International Airport during his trip to Vietnam, Mr. Jack Halpern (79 years old, Israeli nationality) suddenly experienced dizziness, blurred vision, and collapsed in the restroom. After regaining consciousness, he sought medical evaluation at Hong Ngoc General Hospital presenting with transient memory loss, unable to recall events that had occurred beforehand, accompanied by profound fatigue and cold extremities.
Mr. Halpern reported that although he had undergone regular medical check-ups and had adhered consistently to long-term cardiovascular pharmacotherapy in Japan for many years, his blood pressure remained poorly controlled, frequently fluctuating around 150/100 mmHg, and at times spiking to 180/100 mmHg. In addition, he has a medical history significant for dyslipidemia and heart failure.
Immediately upon receiving the patient, Dr. Cao Manh Hung, MSc, Resident Doctor – Cardiology and Interventional Cardiology Department, Hong Ngoc Phuc Truong Minh General Hospital assessed that Mr. Halpern showed typical signs of a transient ischemic attack (TIA), carrying a very high risk of stroke.
Subsequent paraclinical test results revealed severe stenosis (>90%) of the right internal carotid artery at its origin, accompanied by multiple atherosclerotic plaques. In addition, the coronary arterial system was also found to have over 90% stenosis in the left anterior descending (LAD) artery.
The site of carotid artery stenosis on the 2560-slice CT imaging.
Severe carotid artery stenosis, which reduces or obstructs blood flow to the brain, was identified as the underlying cause of the dangerous symptoms experienced by Mr. Halpern. Dr. Hung warned: “If the arterial lumen is not promptly revascularized, the patient may face a cerebrovascular accident (stroke) with severe sequelae such as paralysis, speech impairment, cognitive decline, and even life-threatening complications.”
An interventional strategy from the heart to the brain: Stepwise – Safe – Precise
Given the complex and severe clinical condition in an elderly patient with multiple risk factors such as Mr. Halpern, the interventional team determined that carotid artery intervention could not be performed immediately.
Instead, the patient required a carefully planned and individualized treatment strategy, in which accurate cardiovascular assessment and optimization of cardiac function played a pivotal role in ensuring the highest level of safety throughout the interventional procedure.
Explaining the treatment strategy, Dr. Nguyen Van Hai, MD, MSc – Head of the Cardiology Department and the physician who directly performed the intervention for Mr. Halpern, stated: “The carotid sinus is a sensitive region in the neck that plays an important role in regulating blood pressure and heart rate. Intervention in this area may trigger physiological reflexes leading to hypotension or bradycardia. Therefore, if the patient simultaneously has coronary artery disease, as in Mr. Halpern’s case, we usually treat the coronary artery first to stabilize cardiac function, and then proceed with carotid intervention to ensure greater procedural safety.”
Accordingly, the medical team decided to divide the intervention into two stages, while simultaneously implementing intensive medical therapy to stabilize the patient’s underlying conditions prior to the procedure.
During the first intervention, Mr. Halpern underwent coronary artery stent placement to prevent the risk of acute myocardial infarction, a complication that could directly threaten his life.
After five days, once his condition had stabilized and coronary blood flow had been effectively restored, the medical team proceeded with carotid artery stenting to dilate the severely narrowed segment, thereby restoring cerebral perfusion and reducing the risk of stroke.
The medical team performed carotid artery stent placement for the patient.
Dr. Hai also noted: “Throughout the interventional procedure, we continuously monitored and strictly controlled the patient’s vital signs to ensure the brain was protected at the highest possible level.”
Immediately on the interventional table, after the procedure had been completed, Mr. Halpern reported that his symptoms had almost completely resolved, with no more headache or dizziness.
Three days after the second intervention, Mr. Halpern was alert, recovered rapidly, and was discharged from the hospital.
After the intervention, Mr. Halpern was further advised by physicians to strictly control cardiovascular risk factors, including hypertension and dyslipidemia. He was also instructed to adhere rigorously to antiplatelet therapy in order to prevent complications, particularly the risk of in-stent restenosis.
From this representative clinical case, Dr. Hai emphasized that patients presenting with symptoms suggestive of stroke such as limb weakness or paralysis, loss of consciousness, facial drooping, hemiplegia, blurred vision, among others or those who have already been diagnosed with cerebrovascular disease in the presence of cardiovascular risk factors, should undergo regular medical check-ups and carotid Doppler ultrasound screening.
This is a non-invasive diagnostic modality that enables early detection and accurate assessment of carotid artery stenosis or occlusion, thereby facilitating timely therapeutic planning and interventional management.
Cardiology – Interventional Cardiology Department Hong Ngoc General Hospital
Để lại câu hỏi của bạn để nhận được giải đáp từ các bác sĩ của Hồng Ngọc
Lorem ipsum dolor
Lorem ipsum dolor sit amet, consectetur adipiscing elit. Mauris odio lectus, pretium faucibus nisi eu, accumsan consectetur orci. In blandit vehicula nisl, vel lacinia ligula finibus a. Donec fermentum rhoncus
Lorem ipsum dolor sit amet, consectetur adipiscing elit. Mauris odio lectus, pretium faucibus nisi eu, accumsan consectetur orci. In blandit vehicula nisl, vel lacinia ligula finibus a. Donec fermentum rhoncus
Lorem ipsum dolor sit amet, consectetur adipiscing elit. Mauris odio lectus, pretium faucibus nisi eu, accumsan consectetur orci. In blandit vehicula nisl, vel lacinia ligula finibus a. Donec fermentum rhoncus
Lorem ipsum dolor sit amet, consectetur adipiscing elit. Mauris odio lectus, pretium faucibus nisi eu, accumsan consectetur orci. In blandit vehicula nisl, vel lacinia ligula finibus a. Donec fermentum rhoncus
Lorem ipsum dolor sit amet, consectetur adipiscing elit. Mauris odio lectus, pretium faucibus nisi eu, accumsan consectetur orci. In blandit vehicula nisl, vel lacinia ligula finibus a. Donec fermentum rhoncus