After more than four years of living with treatment resistant hypertension of unknown etiology, a 38 year old Ukrainian patient has been successfully treated at Hong Ngoc General Hospital following a comprehensive diagnostic workup and targeted intervention.
The case highlights the importance of identifying underlying endocrine etiologies in patients with persistent hypertension and demonstrates the potential for definitive treatment in difficult to control cases.
Resistant hypertension associated with complex endocrine abnormalities
The patient, identified as Ms Isaieva Nelli (38, Ukrainian), presented with bilateral calf pain, intermittent lower limb weakness, and impaired mobility despite no history of trauma.
Laboratory investigations revealed severe hypokalemia, with serum potassium levels of approximately 2 mmol per L, significantly below the normal range, predisposing her to cardiac arrhythmias and myopathy.
Notably, she had a more than four year history of hypertension, requiring a combination of three antihypertensive agents including Amlodipine, Perindopril, and Indapamide at maximal tolerated doses. Despite this intensive regimen, her blood pressure remained labile, accompanied by persistent symptoms such as headache and insomnia, significantly affecting her quality of life.
“The patient reported concurrent use of three antihypertensive agents, including Amlodipine, Perindopril, and Indapamide. This is considered a relatively intensive treatment regimen for a young patient, raising strong suspicion of resistant hypertension and warranting further evaluation to exclude secondary causes,” said Dr. Doan Thi Hong Lien, Specialist Level I, Department of Endocrinology, Hong Ngoc General Hospital.
“I sought medical evaluation in Germany and Ukraine, but no underlying cause was identified. After sitting for about 20 minutes, it would take me nearly another 10 minutes to stand up and walk normally. The pain and fatigue felt as if I had just completed an intense workout,” Ms Nelli said, describing how the condition affected her daily life.
Tracing the underlying cause of a long standing condition
According to Dr. Doan Thi Hong Lien, Specialist Level I, based on two key clinical findings, severe hypokalemia and difficult to control hypertension, the patient was directed toward an endocrine focused evaluation to identify a potential underlying cause.
Further investigations revealed elevated plasma aldosterone levels at 11.4 ng/mL alongside markedly suppressed renin levels below 0.5 µIU/mL, resulting in an increased aldosterone to renin ratio, a key biochemical indicator of primary hyperaldosteronism.
To avoid overlooking other endocrine disorders with overlapping clinical features, the patient underwent an overnight dexamethasone suppression test to screen for subclinical Cushing syndrome. Cortisol levels were adequately suppressed, ruling out endogenous hypercortisolism and further supporting the diagnostic orientation.
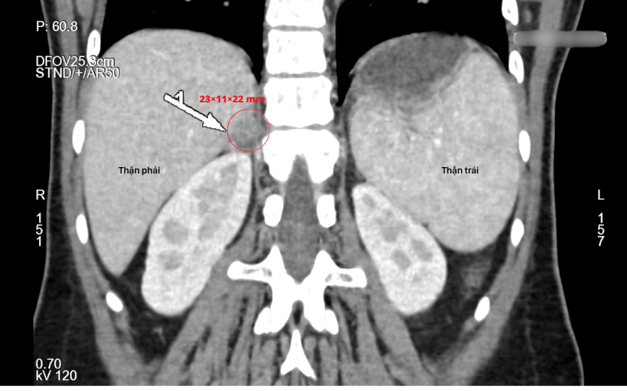
The patient subsequently underwent abdominal computed tomography to localize the lesion. Imaging revealed a right adrenal mass measuring approximately 23 × 11 × 22 mm, with features consistent with a benign adrenal adenoma.
Based on the combined clinical, biochemical, and imaging findings, the patient was diagnosed with Conn syndrome secondary to a right adrenal adenoma.
Computed tomography imaging demonstrated a right adrenal mass measuring approximately 23 × 11 × 22 mm.
“This is an endocrine disorder in which the adrenal glands produce excessive aldosterone independent of physiological regulation. This leads to increased sodium and water retention, along with enhanced renal potassium excretion, resulting in persistent, difficult to control hypertension and hypokalemia. If not diagnosed and treated in a timely manner, patients may develop serious cardiovascular complications, including heart failure, renal impairment, and stroke,” said Dr. Doan Thi Hong Lien, Specialist Level I.
“This was the first time I had undergone these tests. From the very beginning, I felt the doctors took the right approach and were persistent in identifying the root cause of my condition. I had complete trust in their expertise and fully followed the treatment plan,” Ms Nelli said.
A therapeutic breakthrough: Successfully resolving four years of treatment resistant hypertension at Hong Ngoc General Hospital
After identifying the underlying cause, the patient underwent a multidisciplinary consultation involving relevant specialties. Based on a comprehensive assessment, the medical team agreed to perform laparoscopic right adrenalectomy to remove the source of endocrine dysfunction.
The procedure was performed laparoscopically by Dr. Cu Trung Kien, MD, MSc, Department of Surgery. The entire right adrenal gland was removed through three small access ports, each less than 1 cm in size, helping to minimize invasiveness, reduce postoperative pain, and shorten recovery time.
“I had surgery on Tuesday, and by Wednesday afternoon, I was able to stand and walk with support from the nursing staff. Although I still felt a bit tired, I was much better overall, able to eat normally, no longer had muscle pain, and slept very well that night,” the patient said, describing her recovery after surgery.
The patient showed rapid recovery within one day after surgery
According to Dr. Doan Thi Hong Lien, Specialist Level I, the patient’s laboratory parameters showed marked improvement. Serum potassium levels increased from 2.04 mmol/L to 3.77 mmol/L without the need for potassium supplementation or aldosterone antagonists. Creatine kinase returned to normal, and muscle pain and weakness completely resolved.
Twenty four hour ambulatory blood pressure monitoring also showed improved blood pressure control, with fewer hypertensive peaks compared to before the intervention.
Notably, while the patient had previously required a combination of three antihypertensive agents, she was able to maintain stable blood pressure after surgery with only a single medication. This demonstrates the clear effectiveness of treating the underlying cause.
At the one week follow up visit, endocrine parameters, including aldosterone and renin, remained stable, serum potassium levels were normal, and the patient’s clinical condition improved significantly.
Dr. Doan Thi Hong Lien, Specialist Level I, said this is a typical case of long standing hypertension in which the underlying cause had not been identified for an extended period, leading to the use of multiple antihypertensive medications with limited effectiveness in blood pressure control.
Early detection of electrolyte abnormalities played a key role in guiding the diagnostic approach, allowing for definitive treatment of the underlying cause.
The physician emphasized that in patients with hypertension, particularly those with difficult to control blood pressure or requiring multiple medications, screening for secondary causes is essential.
Accurate diagnosis and timely intervention not only improve symptoms but also significantly reduce the long term risk of cardiovascular complications.
After more than four years of living with treatment resistant hypertension of unknown etiology, a 38 year old Ukrainian patient has been successfully treated at Hong Ngoc General Hospital following a comprehensive diagnostic workup and targeted intervention.
The case highlights the importance of identifying underlying endocrine etiologies in patients with persistent hypertension and demonstrates the potential for definitive treatment in difficult to control cases.
Resistant hypertension associated with complex endocrine abnormalities
The patient, identified as Ms Isaieva Nelli (38, Ukrainian), presented with bilateral calf pain, intermittent lower limb weakness, and impaired mobility despite no history of trauma.
Laboratory investigations revealed severe hypokalemia, with serum potassium levels of approximately 2 mmol per L, significantly below the normal range, predisposing her to cardiac arrhythmias and myopathy.
Notably, she had a more than four year history of hypertension, requiring a combination of three antihypertensive agents including Amlodipine, Perindopril, and Indapamide at maximal tolerated doses. Despite this intensive regimen, her blood pressure remained labile, accompanied by persistent symptoms such as headache and insomnia, significantly affecting her quality of life.
“The patient reported concurrent use of three antihypertensive agents, including Amlodipine, Perindopril, and Indapamide. This is considered a relatively intensive treatment regimen for a young patient, raising strong suspicion of resistant hypertension and warranting further evaluation to exclude secondary causes,” said Dr. Doan Thi Hong Lien, Specialist Level I, Department of Endocrinology, Hong Ngoc General Hospital.
“I sought medical evaluation in Germany and Ukraine, but no underlying cause was identified. After sitting for about 20 minutes, it would take me nearly another 10 minutes to stand up and walk normally. The pain and fatigue felt as if I had just completed an intense workout,” Ms Nelli said, describing how the condition affected her daily life.
Tracing the underlying cause of a long standing condition
According to Dr. Doan Thi Hong Lien, Specialist Level I, based on two key clinical findings, severe hypokalemia and difficult to control hypertension, the patient was directed toward an endocrine focused evaluation to identify a potential underlying cause.
Further investigations revealed elevated plasma aldosterone levels at 11.4 ng/mL alongside markedly suppressed renin levels below 0.5 µIU/mL, resulting in an increased aldosterone to renin ratio, a key biochemical indicator of primary hyperaldosteronism.
To avoid overlooking other endocrine disorders with overlapping clinical features, the patient underwent an overnight dexamethasone suppression test to screen for subclinical Cushing syndrome. Cortisol levels were adequately suppressed, ruling out endogenous hypercortisolism and further supporting the diagnostic orientation.
The patient subsequently underwent abdominal computed tomography to localize the lesion. Imaging revealed a right adrenal mass measuring approximately 23 × 11 × 22 mm, with features consistent with a benign adrenal adenoma.
Based on the combined clinical, biochemical, and imaging findings, the patient was diagnosed with Conn syndrome secondary to a right adrenal adenoma.
Computed tomography imaging demonstrated a right adrenal mass measuring approximately 23 × 11 × 22 mm.
“This is an endocrine disorder in which the adrenal glands produce excessive aldosterone independent of physiological regulation. This leads to increased sodium and water retention, along with enhanced renal potassium excretion, resulting in persistent, difficult to control hypertension and hypokalemia. If not diagnosed and treated in a timely manner, patients may develop serious cardiovascular complications, including heart failure, renal impairment, and stroke,” said Dr. Doan Thi Hong Lien, Specialist Level I.
“This was the first time I had undergone these tests. From the very beginning, I felt the doctors took the right approach and were persistent in identifying the root cause of my condition. I had complete trust in their expertise and fully followed the treatment plan,” Ms Nelli said.
A therapeutic breakthrough: Successfully resolving four years of treatment resistant hypertension at Hong Ngoc General Hospital
After identifying the underlying cause, the patient underwent a multidisciplinary consultation involving relevant specialties. Based on a comprehensive assessment, the medical team agreed to perform laparoscopic right adrenalectomy to remove the source of endocrine dysfunction.
The procedure was performed laparoscopically by Dr. Cu Trung Kien, MD, MSc, Department of Surgery. The entire right adrenal gland was removed through three small access ports, each less than 1 cm in size, helping to minimize invasiveness, reduce postoperative pain, and shorten recovery time.
“I had surgery on Tuesday, and by Wednesday afternoon, I was able to stand and walk with support from the nursing staff. Although I still felt a bit tired, I was much better overall, able to eat normally, no longer had muscle pain, and slept very well that night,” the patient said, describing her recovery after surgery.
The patient showed rapid recovery within one day after surgery
According to Dr. Doan Thi Hong Lien, Specialist Level I, the patient’s laboratory parameters showed marked improvement. Serum potassium levels increased from 2.04 mmol/L to 3.77 mmol/L without the need for potassium supplementation or aldosterone antagonists. Creatine kinase returned to normal, and muscle pain and weakness completely resolved.
Twenty four hour ambulatory blood pressure monitoring also showed improved blood pressure control, with fewer hypertensive peaks compared to before the intervention.
Notably, while the patient had previously required a combination of three antihypertensive agents, she was able to maintain stable blood pressure after surgery with only a single medication. This demonstrates the clear effectiveness of treating the underlying cause.
At the one week follow up visit, endocrine parameters, including aldosterone and renin, remained stable, serum potassium levels were normal, and the patient’s clinical condition improved significantly.
Dr. Doan Thi Hong Lien, Specialist Level I, said this is a typical case of long standing hypertension in which the underlying cause had not been identified for an extended period, leading to the use of multiple antihypertensive medications with limited effectiveness in blood pressure control.
Early detection of electrolyte abnormalities played a key role in guiding the diagnostic approach, allowing for definitive treatment of the underlying cause.
The physician emphasized that in patients with hypertension, particularly those with difficult to control blood pressure or requiring multiple medications, screening for secondary causes is essential.
Accurate diagnosis and timely intervention not only improve symptoms but also significantly reduce the long term risk of cardiovascular complications.
Để lại câu hỏi của bạn để nhận được giải đáp từ các bác sĩ của Hồng Ngọc
Lorem ipsum dolor
Lorem ipsum dolor sit amet, consectetur adipiscing elit. Mauris odio lectus, pretium faucibus nisi eu, accumsan consectetur orci. In blandit vehicula nisl, vel lacinia ligula finibus a. Donec fermentum rhoncus
Lorem ipsum dolor sit amet, consectetur adipiscing elit. Mauris odio lectus, pretium faucibus nisi eu, accumsan consectetur orci. In blandit vehicula nisl, vel lacinia ligula finibus a. Donec fermentum rhoncus
Lorem ipsum dolor sit amet, consectetur adipiscing elit. Mauris odio lectus, pretium faucibus nisi eu, accumsan consectetur orci. In blandit vehicula nisl, vel lacinia ligula finibus a. Donec fermentum rhoncus
Lorem ipsum dolor sit amet, consectetur adipiscing elit. Mauris odio lectus, pretium faucibus nisi eu, accumsan consectetur orci. In blandit vehicula nisl, vel lacinia ligula finibus a. Donec fermentum rhoncus
Lorem ipsum dolor sit amet, consectetur adipiscing elit. Mauris odio lectus, pretium faucibus nisi eu, accumsan consectetur orci. In blandit vehicula nisl, vel lacinia ligula finibus a. Donec fermentum rhoncus