Nhờ được chẩn đoán sớm và điều trị nội khoa chuyên sâu tại Khoa Nhi BVĐK Hồng Ngọc cơ sở Yên Ninh, bé N.P (2 tuổi) bị viêm phổi hoại tử ¼ phổi phải đã được điều trị thành công, bảo tồn hoàn toàn nhu mô phổi, không cần phẫu thuật.
Phát hiện kịp thời tổn thương viêm phổi hoại tử nặng
Vừa qua, Khoa Nhi - Bệnh viện Đa khoa Hồng Ngọc cơ sở Yên Ninh đã tiếp nhận bệnh nhi N.P (2 tuổi) trong tình trạng: Trẻ ho đờm nặng tiếng, sốt cao liên tục trên 39°C, kèm rét run, nổi vân tím và bỏ ăn kéo dài suốt 6 ngày; Trẻ mệt, thở nhanh 48 lần/phút, thông khí phổi phải giảm rõ so với phổi trái.
Qua thăm khám và đánh giá nhanh, các bác sĩ nhận định bé trong tình trạng nặng: Suy hô hấp, viêm phổi nặng và theo dõi nhiễm khuẩn huyết. Ngay lập tức, bệnh nhi được thở oxy, ổn định hô hấp và tuần hoàn, tiêm kháng sinh, theo dõi liên tục tại phòng cấp cứu các chỉ số sinh tồn, đồng thời được chăm sóc, đảm bảo dinh dưỡng đầy đủ. Đồng thời các bác sĩ giải thích kỹ càng, cẩn thận tình trạng bệnh của trẻ cũng như các nguy cơ có thể xảy ra với gia đình bệnh nhi.
Không chủ quan trước diễn tiến phức tạp của bệnh, ekip điều trị theo dõi sát sao từng giờ và nhanh chóng phát hiện các dấu hiệu trở nặng như da tái, thở nhanh hơn, rút lõm lồng ngực và chỉ số SpO₂ giảm thấp còn 92-93%.
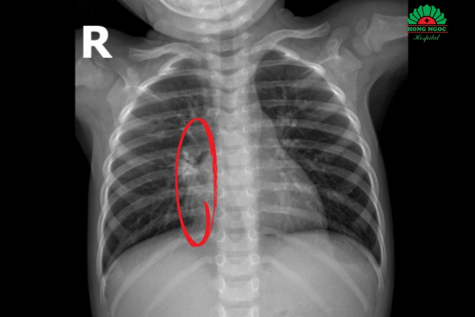
Kết quả chụp CT lồng ngực cho thấy tổn thương nghiêm trọng tại phổi phải với hình ảnh viêm phổi hoại tử, kích thước ổ tổn thương 40 x 42 x 20 mm, chiếm khoảng 1/4 thể tích phổi phải. Trẻ đồng thời có tràn dịch màng phổi hai bên dày khoảng 11 mm và xẹp hoàn toàn hai thùy dưới của phổi. Kết quả nội soi tai mũi họng ghi nhận viêm tai giữa ứ mủ hai bên. Các xét nghiệm vi sinh cho thấy test nhanh RSV dương tính, cấy dịch tỵ hầu phát hiện phế cầu, và PCR dịch tỵ hầu dương tính với HI, phế cầu và Mycoplasma IgM.
Kết quả CT và siêu âm ngực cho thấy bé N.P bị hoại tử phổi phải kích thước 40×42×20 mm kèm tràn dịch màng phổi hai bên, dày 11 mm.
Trước diễn biến nghiêm trọng, các bác sĩ đã nhanh chóng điều chỉnh sang phác đồ kháng sinh phối hợp đa phổ nhằm bao phủ toàn diện căn nguyên gây bệnh.
Điều trị tích cực giúp bé phục hồi ngoạn mục, tránh được can thiệp ngoại khoa
BSCKI Trần Thu Trang - Phó Khoa Nhi, Bệnh viện Đa khoa Hồng Ngọc cơ sở Yên Ninh, người trực tiếp điều trị cho bé N.P cho biết: “Viêm phổi hoại tử là một thể nặng của bệnh lý phổi, đặc trưng bởi sự hình thành các hang nhỏ, áp-xe nhỏ (<2cm) trong nhu mô phổi. Nếu xử trí chậm trễ, hoại tử có thể lan rộng, dẫn đến sốc nhiễm khuẩn, đông máu nội mạch lan tỏa, suy thận cấp, rối loạn điện giải và hội chứng suy hô hấp cấp tiến triển (ARDS). Ngoài ra, trẻ còn có thể gặp các biến chứng như tràn dịch hoặc tràn mủ màng phổi, tràn khí màng phổi, kén khí hay dò phế quản - màng phổi.
Khi nhập viện, vùng tổn thương phổi của bé N.P đã lan rộng và tiến triển nhanh, buộc ekip điều trị phải theo dõi sát, đánh giá đáp ứng từng giai đoạn để điều chỉnh phác đồ phù hợp. Các bác sĩ lựa chọn thuốc kỹ lưỡng nhằm tránh kháng thuốc chéo, đồng thời duy trì liệu pháp hô hấp, cân bằng dịch - điện giải và bổ sung dinh dưỡng qua đường tĩnh mạch giúp trẻ tăng sức đề kháng, phục hồi thể trạng và hạn chế tối đa can thiệp ngoại khoa như dẫn lưu hay cắt bỏ phần phổi hoại tử. Toàn bộ quá trình điều trị là sự phối hợp chặt chẽ, kiên trì và chính xác giữa đội ngũ bác sĩ, điều dưỡng cùng sự hợp tác, tin tưởng từ gia đình bệnh nhi."
Sau 15 ngày điều trị, vùng hoại tử ở phổi phải của bé được hồi phục hoàn toàn
Rất may mắn, nhờ được điều trị tích cực và chăm sóc toàn diện, bé N.P đáp ứng tốt với phác đồ. Sau 2 ngày, trẻ được cai thở oxy và tự thở ổn định. Đến ngày thứ 5, bé hết sốt, phổi hết ran, ho giảm rõ rệt, chơi ngoan và ăn ngon miệng hơn. Sau 15 ngày điều trị, hình ảnh phổi cải thiện rõ rệt, vùng hoại tử hồi phục hoàn toàn, da môi hồng hào, hô hấp bình thường. Bé được xuất viện trong tình trạng ổn định và tiếp tục được hẹn tái khám định kỳ để theo dõi chức năng hô hấp.
Với đội ngũ bác sĩ giàu kinh nghiệm cùng hệ thống trang thiết bị hiện đại, Khoa Nhi - Bệnh viện Đa khoa Hồng Ngọc luôn sẵn sàng tiếp nhận và xử trí hiệu quả từ các bệnh lý cấp thường gặp đến những ca phức tạp, mang đến cho trẻ sự chăm sóc toàn diện và cho gia đình niềm an tâm trọn vẹn.
Hotline: 0947.616.006
Nhờ được chẩn đoán sớm và điều trị nội khoa chuyên sâu tại Khoa Nhi BVĐK Hồng Ngọc cơ sở Yên Ninh, bé N.P (2 tuổi) bị viêm phổi hoại tử ¼ phổi phải đã được điều trị thành công, bảo tồn hoàn toàn nhu mô phổi, không cần phẫu thuật.
Phát hiện kịp thời tổn thương viêm phổi hoại tử nặng
Vừa qua, Khoa Nhi - Bệnh viện Đa khoa Hồng Ngọc cơ sở Yên Ninh đã tiếp nhận bệnh nhi N.P (2 tuổi) trong tình trạng: Trẻ ho đờm nặng tiếng, sốt cao liên tục trên 39°C, kèm rét run, nổi vân tím và bỏ ăn kéo dài suốt 6 ngày; Trẻ mệt, thở nhanh 48 lần/phút, thông khí phổi phải giảm rõ so với phổi trái.
Qua thăm khám và đánh giá nhanh, các bác sĩ nhận định bé trong tình trạng nặng: Suy hô hấp, viêm phổi nặng và theo dõi nhiễm khuẩn huyết. Ngay lập tức, bệnh nhi được thở oxy, ổn định hô hấp và tuần hoàn, tiêm kháng sinh, theo dõi liên tục tại phòng cấp cứu các chỉ số sinh tồn, đồng thời được chăm sóc, đảm bảo dinh dưỡng đầy đủ. Đồng thời các bác sĩ giải thích kỹ càng, cẩn thận tình trạng bệnh của trẻ cũng như các nguy cơ có thể xảy ra với gia đình bệnh nhi.
Không chủ quan trước diễn tiến phức tạp của bệnh, ekip điều trị theo dõi sát sao từng giờ và nhanh chóng phát hiện các dấu hiệu trở nặng như da tái, thở nhanh hơn, rút lõm lồng ngực và chỉ số SpO₂ giảm thấp còn 92-93%.
Kết quả chụp CT lồng ngực cho thấy tổn thương nghiêm trọng tại phổi phải với hình ảnh viêm phổi hoại tử, kích thước ổ tổn thương 40 x 42 x 20 mm, chiếm khoảng 1/4 thể tích phổi phải. Trẻ đồng thời có tràn dịch màng phổi hai bên dày khoảng 11 mm và xẹp hoàn toàn hai thùy dưới của phổi. Kết quả nội soi tai mũi họng ghi nhận viêm tai giữa ứ mủ hai bên. Các xét nghiệm vi sinh cho thấy test nhanh RSV dương tính, cấy dịch tỵ hầu phát hiện phế cầu, và PCR dịch tỵ hầu dương tính với HI, phế cầu và Mycoplasma IgM.
Kết quả CT và siêu âm ngực cho thấy bé N.P bị hoại tử phổi phải kích thước 40×42×20 mm kèm tràn dịch màng phổi hai bên, dày 11 mm.
Trước diễn biến nghiêm trọng, các bác sĩ đã nhanh chóng điều chỉnh sang phác đồ kháng sinh phối hợp đa phổ nhằm bao phủ toàn diện căn nguyên gây bệnh.
Điều trị tích cực giúp bé phục hồi ngoạn mục, tránh được can thiệp ngoại khoa
BSCKI Trần Thu Trang - Phó Khoa Nhi, Bệnh viện Đa khoa Hồng Ngọc cơ sở Yên Ninh, người trực tiếp điều trị cho bé N.P cho biết: “Viêm phổi hoại tử là một thể nặng của bệnh lý phổi, đặc trưng bởi sự hình thành các hang nhỏ, áp-xe nhỏ (<2cm) trong nhu mô phổi. Nếu xử trí chậm trễ, hoại tử có thể lan rộng, dẫn đến sốc nhiễm khuẩn, đông máu nội mạch lan tỏa, suy thận cấp, rối loạn điện giải và hội chứng suy hô hấp cấp tiến triển (ARDS). Ngoài ra, trẻ còn có thể gặp các biến chứng như tràn dịch hoặc tràn mủ màng phổi, tràn khí màng phổi, kén khí hay dò phế quản - màng phổi.
Khi nhập viện, vùng tổn thương phổi của bé N.P đã lan rộng và tiến triển nhanh, buộc ekip điều trị phải theo dõi sát, đánh giá đáp ứng từng giai đoạn để điều chỉnh phác đồ phù hợp. Các bác sĩ lựa chọn thuốc kỹ lưỡng nhằm tránh kháng thuốc chéo, đồng thời duy trì liệu pháp hô hấp, cân bằng dịch - điện giải và bổ sung dinh dưỡng qua đường tĩnh mạch giúp trẻ tăng sức đề kháng, phục hồi thể trạng và hạn chế tối đa can thiệp ngoại khoa như dẫn lưu hay cắt bỏ phần phổi hoại tử. Toàn bộ quá trình điều trị là sự phối hợp chặt chẽ, kiên trì và chính xác giữa đội ngũ bác sĩ, điều dưỡng cùng sự hợp tác, tin tưởng từ gia đình bệnh nhi."
Sau 15 ngày điều trị, vùng hoại tử ở phổi phải của bé được hồi phục hoàn toàn
Rất may mắn, nhờ được điều trị tích cực và chăm sóc toàn diện, bé N.P đáp ứng tốt với phác đồ. Sau 2 ngày, trẻ được cai thở oxy và tự thở ổn định. Đến ngày thứ 5, bé hết sốt, phổi hết ran, ho giảm rõ rệt, chơi ngoan và ăn ngon miệng hơn. Sau 15 ngày điều trị, hình ảnh phổi cải thiện rõ rệt, vùng hoại tử hồi phục hoàn toàn, da môi hồng hào, hô hấp bình thường. Bé được xuất viện trong tình trạng ổn định và tiếp tục được hẹn tái khám định kỳ để theo dõi chức năng hô hấp.
Với đội ngũ bác sĩ giàu kinh nghiệm cùng hệ thống trang thiết bị hiện đại, Khoa Nhi - Bệnh viện Đa khoa Hồng Ngọc luôn sẵn sàng tiếp nhận và xử trí hiệu quả từ các bệnh lý cấp thường gặp đến những ca phức tạp, mang đến cho trẻ sự chăm sóc toàn diện và cho gia đình niềm an tâm trọn vẹn.